You have no items in your shopping cart.
proteasome activator subunit 3 Antibody
Description
Research Area
Images & Validation
−| Tested Applications | ICC, IHC-P, WB |
|---|---|
| Dilution Range | WB: 1:500-1:3000 , IF: 1:100-1:1000 , IHC-P: 1:100-1:1000 |
| Reactivity | Human, Mouse, Rat |
| Application Notes |
Key Properties
−| Antibody Type | Primary Antibody |
|---|---|
| Host | Rabbit |
| Clonality | Polyclonal |
| Isotype | IgG |
| Immunogen | Recombinant protein encompassing a sequence within the center region of human PSME3. The exact sequence is proprietary. |
| Target | PSME3 |
| Molecular Weight | 30 |
| Purity | Purified by antigen-affinity chromatography. |
| Purification | Purified by antigen-affinity chromatography. |
| Conjugation | Unconjugated |
Storage & Handling
−| Storage | Store as concentrated solution. Centrifuge briefly prior to opening vial. For short-term storage (1-2 weeks), store at 4°C. For long-term storage, aliquot and store at -20°lC or below. Avoid multiple freeze-thaw cycles. |
|---|---|
| Form/Appearance | Liquid: 0.1M Tris, 0.1M Glycine, 10% Glycerol (pH7). 0.01% Thimerosal was added as a preservative. |
| Buffer/Preservatives | 0.1M Tris, 0.1M Glycine, 10% Glycerol, 0.01% Thimerosal. |
| Concentration | 0.65 mg/ml |
| Expiration Date | 12 months from date of receipt. |
| Disclaimer | For research use only |
Alternative Names
−Similar Products
−PSME3 Rabbit Polyclonal Antibody [orb4706]
IF, IHC-Fr, IHC-P
Bovine, Canine, Equine, Gallus, Porcine, Rabbit
Human, Mouse, Rat
Rabbit
Polyclonal
Unconjugated
100 μl, 200 μl, 50 μlHuman Proteasome Activator Subunit 3 (PSME3) ELISA Kit [orb778516]
Human
0.16-10 ng/mL
0.057 ng/mL
96 T, 48 TRabbit PSME3 Antibody [orb1524009]
IHC, IP, WB
Gallus, Porcine
Human, Mouse
Rabbit
Polyclonal
Unconjugated
100 μl, 10 μlPA28 gamma Rabbit Polyclonal Antibody [orb340707]
IF, WB
Human, Mouse, Rat
Rabbit
Polyclonal
Unconjugated
100 μl, 200 μl

Quality Guarantee
Explore bioreagents carefree to elevate your research. All our products are rigorously tested for performance. If a product does not perform as described on its datasheet, our scientific support team will provide expert troubleshooting, a prompt replacement, or a refund. For full details, please see our Terms & Conditions and Buying Guide. Contact us at support@biorbyt.com.

Immunofluorescence analysis of HeLa cells using PSME3 antibody

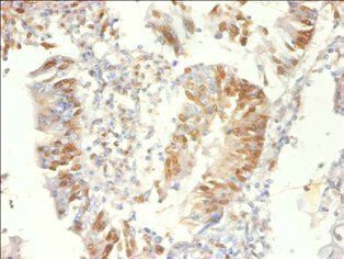
Immunohistochemical staining of mouse cervix using PSME3 antibody

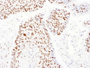
Immunohistochemical staining of Ca922 xenograft using PSME3 antibody

Western blot analysis of A549(Lane 1), H1299(Lane 2), HCT116(Lane 3), MCF-7(Lane 4) using PSME3 antibody

Western blot analysis of A549(Lane 1), H1299(Lane 2), HCT116(Lane 3), MCF-7(Lane 4) using PSME3 antibody

Western blot analysis of A549(Lane 1), H1299(Lane 2), HCT116(Lane 3), MCF-7(Lane 4) using PSME3 antibody
Quick Database Links
UniProt Details
−Documents Download
Request a Document
Protocol Information
proteasome activator subunit 3 Antibody (orb556379)
Participating in our Biorbyt product reviews program enables you to support fellow scientists by sharing your firsthand experience with our products.
Login to Submit a Review
















