You have no items in your shopping cart.
PTGES2 Antibody
Description
Research Area
Images & Validation
−| Tested Applications | IF, IHC, WB |
|---|---|
| Reactivity | Human, Mouse, Rat |
| Application Notes |
Key Properties
−| Antibody Type | Primary Antibody |
|---|---|
| Host | Rabbit |
| Clonality | Polyclonal |
| Isotype | IgG |
| Immunogen | Recombinant fusion protein containing a sequence corresponding to amino acids 88-377 of human PTGES2 (NP_079348.1). |
| Target | PTGES2 |
| Molecular Weight | Observed: 35kDa |
| Purification | Affinity purification |
| Conjugation | Unconjugated |
Storage & Handling
−| Storage | Maintain refrigerated at 2-8°C for up to 2 weeks. For long term storage store at -20°C in small aliquots to prevent freeze-thaw cycles. |
|---|---|
| Form/Appearance | Liquid |
| Buffer/Preservatives | PBS with 0.02% sodium azide, 50% glycerol, pH 7.3. |
| Concentration | batch dependent |
| Expiration Date | 12 months from date of receipt. |
| Disclaimer | For research use only |
Alternative Names
−Similar Products
−Prostaglandin E synthase 2 antibody [orb6819]
IHC-P, WB
Human, Mouse, Rat
Rabbit
Polyclonal
Unconjugated
100 μg, 500 μgPTGES2 Rabbit Polyclonal Antibody [orb1816848]
IF, IHC-Fr, IHC-P, WB
Bovine, Canine, Human, Porcine, Rabbit
Mouse, Rat
Rabbit
Polyclonal
Unconjugated
50 μl, 100 μl, 200 μlProstaglandin E synthase 2 antibody [orb191502]
ELISA, IHC-P, WB
Bovine, Canine, Gallus, Human, Mouse, Porcine, Rat
Rabbit
Polyclonal
Unconjugated
100 μgPTGES2/Gbf1 Rabbit Polyclonal Antibody [orb865558]
ELISA, FC, ICC, IF, IHC, WB
Human, Mouse, Rat
Rabbit
Polyclonal
Unconjugated
100 μgGoat anti-PTGES2 (aa292-306) Antibody [orb377872]
ELISA, IHC, WB
Human
Goat
Polyclonal
Unconjugated
100 μg

Quality Guarantee
Explore bioreagents carefree to elevate your research. All our products are rigorously tested for performance. If a product does not perform as described on its datasheet, our scientific support team will provide expert troubleshooting, a prompt replacement, or a refund. For full details, please see our Terms & Conditions and Buying Guide. Contact us at support@biorbyt.com.

Western blot analysis of extracts of various cell lines, using PTGES2 antibody (orb1256566) at 1:1000 dilution. Secondary antibody: HRP Goat Anti-Rabbit IgG (H+L) at 1:10000 dilution. Lysates/proteins: 25 ug per lane. Blocking buffer: 3% nonfat dry milk in TBST. Detection: ECL Basic Kit. Exposure time: 5s.

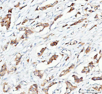
Immunohistochemistry of paraffin-embedded rat kidney using PTGES2 antibody (orb1256566) at dilution of 1:100 (40x lens).

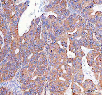
Immunohistochemistry of paraffin-embedded human kidney cancer using PTGES2 antibody (orb1256566) at dilution of 1:100 (40x lens).

Immunohistochemistry of paraffin-embedded mouse kidney using PTGES2 antibody (orb1256566) at dilution of 1:100 (40x lens).

Immunofluorescence analysis of A-549 cells using PTGES2 antibody (orb1256566). Blue: DAPI for nuclear staining.
Quick Database Links
UniProt Details
−Documents Download
Request a Document
Protocol Information
PTGES2 Antibody (orb1256566)
Participating in our Biorbyt product reviews program enables you to support fellow scientists by sharing your firsthand experience with our products.
Login to Submit a Review


































