You have no items in your shopping cart.
PTP1B Recombinant Rabbit Monoclonal Antibody
Description
Research Area
Images & Validation
−| Tested Applications | FC, ICC, IF, IHC-Fr, IHC-P, WB |
|---|---|
| Dilution Range | WB=1:500-2000, IHC-P=1:200-500, IHC-F=1:200-500, ICC/IF=1:50-200, IF=1:200-500, Flow-Cyt=1:50-100 |
| Reactivity | Human, Mouse, Rat |
| Predicted Reactivity | Mouse, Rat |
Key Properties
−| Antibody Type | Primary Antibody |
|---|---|
| Host | Rabbit |
| Clonality | Recombinant |
| Isotype | IgG |
| Clone No. | R3F5 |
| Immunogen | A synthesized peptide derived from human PTPN1 (350-400aa) |
| Target | PTPN1 |
| Molecular Weight | 50 kDa |
| Purification | Affinity purified by Protein A |
| Conjugation | Unconjugated |
Storage & Handling
−| Storage | Maintain refrigerated at 2-8°C for up to 2 weeks. For long term storage store at -20°C in small aliquots to prevent freeze-thaw cycles. |
|---|---|
| Form/Appearance | Liquid |
| Buffer/Preservatives | 0.01M TBS (pH7.4) with 1% rAlbumin, 0.02% Proclin300 and 50% Glycerol. |
| Concentration | 1mg/ml |
| Expiration Date | 12 months from date of receipt. |
| Disclaimer | For research use only |
Alternative Names
−Similar Products
−PTP1B Recombinant Rabbit Monoclonal Antibody [orb1499281]
WB
Human
Human
Rabbit
Recombinant
Unconjugated
25 μl, 50 μl, 100 μlPTP1B Rabbit Monoclonal Antibody [orb2988814]
WB
Human, Mouse, Rat
Rabbit
Monoclonal
Unconjugated
200 μl, 100 μl, 50 μl, 30 μl

Quality Guarantee
Explore bioreagents carefree to elevate your research. All our products are rigorously tested for performance. If a product does not perform as described on its datasheet, our scientific support team will provide expert troubleshooting, a prompt replacement, or a refund. For full details, please see our Terms & Conditions and Buying Guide. Contact us at support@biorbyt.com.

25 ug total protein per lane of various lysates probed with PTP1B monoclonal antibody, unconjugated (orb1499282) at 1:1000 dilution and 4°C overnight incubation. Followed by conjugated secondary antibody incubation at r.t. for 60 min.

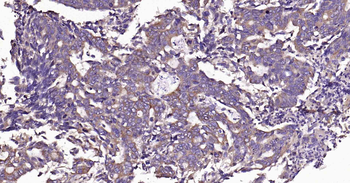
Paraformaldehyde-fixed, paraffin embedded Human Breast Cancer, Antigen retrieval by boiling in sodium citrate buffer (pH6.0) for 15 min, Antibody incubation with PTP1B Monoclonal Antibody, Unconjugated (orb1499282) at 1:200 overnight at 4°C, followed by conjugation to the SP Kit (Rabbit) and DAB staining.

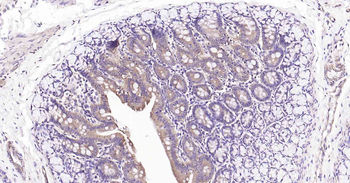
Paraformaldehyde-fixed, paraffin embedded Human Colon Cancer, Antigen retrieval by boiling in sodium citrate buffer (pH6.0) for 15 min, Antibody incubation with PTP1B Monoclonal Antibody, Unconjugated (orb1499282) at 1:200 overnight at 4°C, followed by conjugation to the SP Kit (Rabbit) and DAB staining.

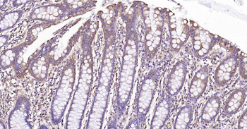
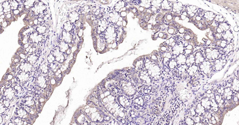
Paraformaldehyde-fixed, paraffin embedded Human Colon, Antigen retrieval by boiling in sodium citrate buffer (pH6.0) for 15 min, Antibody incubation with PTP1B Monoclonal Antibody, Unconjugated (orb1499282) at 1:200 overnight at 4°C, followed by conjugation to the SP Kit (Rabbit) and DAB staining.

Paraformaldehyde-fixed, paraffin embedded Mouse Colon, Antigen retrieval by boiling in sodium citrate buffer (pH6.0) for 15 min, Antibody incubation with PTP1B Monoclonal Antibody, Unconjugated (orb1499282) at 1:200 overnight at 4°C, followed by conjugation to the SP Kit (Rabbit) and DAB staining.

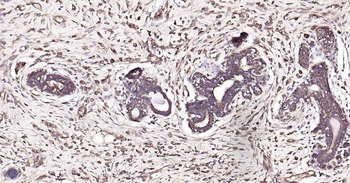
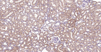
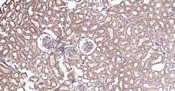
Paraformaldehyde-fixed, paraffin embedded Mouse Kidney, Antigen retrieval by boiling in sodium citrate buffer (pH6.0) for 15 min, Antibody incubation with PTP1B Monoclonal Antibody, Unconjugated (orb1499282) at 1:200 overnight at 4°C, followed by conjugation to the SP Kit (Rabbit) and DAB staining.

Paraformaldehyde-fixed, paraffin embedded Rat Colon, Antigen retrieval by boiling in sodium citrate buffer (pH6.0) for 15 min, Antibody incubation with PTP1B Monoclonal Antibody, Unconjugated (orb1499282) at 1:200 overnight at 4°C, followed by conjugation to the SP Kit (Rabbit) and DAB staining.

Paraformaldehyde-fixed, paraffin embedded Rat Kidney, Antigen retrieval by boiling in sodium citrate buffer (pH6.0) for 15 min, Antibody incubation with PTP1B Monoclonal Antibody, Unconjugated (orb1499282) at 1:200 overnight at 4°C, followed by conjugation to the SP Kit (Rabbit) and DAB staining.
Quick Database Links
UniProt Details
−Documents Download
Request a Document
Protocol Information
PTP1B Recombinant Rabbit Monoclonal Antibody (orb1499282)
Participating in our Biorbyt product reviews program enables you to support fellow scientists by sharing your firsthand experience with our products.
Login to Submit a Review
