You have no items in your shopping cart.
PYCR1 Antibody
Description
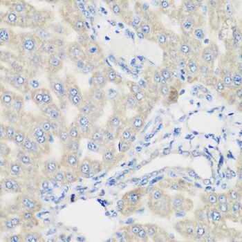
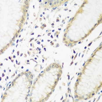
Images & Validation
−| Tested Applications | IHC, WB |
|---|---|
| Dilution Range | WB 1:500~2000, IHC 1:500 |
| Reactivity | Human, Mouse, Rat |
Key Properties
−| Host | Mouse |
|---|---|
| Clonality | Monoclonal |
| Isotype | IgG1 |
| Immunogen | Human recombinant protein fragment corresponding to amino acids 1-319 of human PYCR1 (NP_008838) produced in E.coli. |
| Target | PYCR1 |
| Purification | Purified from mouse ascites fluids or tissue culture supernatant by affinity chromatography (protein A/G) |
| Conjugation | Unconjugated |
Storage & Handling
−| Storage | Maintain refrigerated at 2-8°C for up to 2 weeks. For long term storage store at -20°C in small aliquots to prevent freeze-thaw cycles. |
|---|---|
| Buffer/Preservatives | PBS (PH 7.3) containing 1% rAlbumin, 50% glycerol and 0.02% sodium azide. |
| Expiration Date | 12 months from date of receipt. |
| Disclaimer | For research use only |
Alternative Names
−Similar Products
−PYCR1 antibody [orb389346]
ICC, IF, IHC-P, WB
Guinea pig, Human, Mouse, Rat
Rabbit
Polyclonal
Unconjugated
200 μg, 100 μgPYCR1 Rabbit Polyclonal Antibody [orb1728090]
ELISA, FC, ICC, IF, IHC, WB
Human
Rabbit
Polyclonal
Unconjugated
100 μgPYCR1 Rabbit Polyclonal Antibody [orb583694]
WB
Bovine, Canine, Equine, Guinea pig, Mouse, Rabbit, Rat, Zebrafish
Human
Rabbit
Polyclonal
Unconjugated
100 μlPYCR1 Rabbit Polyclonal Antibody [orb583693]
WB
Bovine, Canine, Equine, Guinea pig, Mouse, Rabbit, Rat, Zebrafish
Human
Rabbit
Polyclonal
Unconjugated
100 μl

Quality Guarantee
Explore bioreagents carefree to elevate your research. All our products are rigorously tested for performance. If a product does not perform as described on its datasheet, our scientific support team will provide expert troubleshooting, a prompt replacement, or a refund. For full details, please see our Terms & Conditions and Buying Guide. Contact us at support@biorbyt.com.

Western blot analysis of HEK293T cells were transfected with the pCMV6-ENTRY control ( Left lane) or pCMV6-ENTRY PYCR1 ( Right lane) using PYCR1 antibody
Quick Database Links
Documents Download
Request a Document
Protocol Information
PYCR1 Antibody (orb1313317)
Participating in our Biorbyt product reviews program enables you to support fellow scientists by sharing your firsthand experience with our products.
Login to Submit a Review























