You have no items in your shopping cart.
PYK2 rabbit pAb Antibody
Description
Images & Validation
−| Tested Applications | ELISA, IF, IHC, WB |
|---|---|
| Dilution Range | Western Blot: 1/500 - 1/2000. Immunohistochemistry: 1/100 - 1/300. ELISA: 1/10000. Not yet tested in other applications. |
| Reactivity | Human, Monkey, Mouse, Rat |
Key Properties
−| Clonality | Polyclonal |
|---|---|
| Isotype | IgG |
| Immunogen | The antiserum was produced against synthesized peptide derived from human PYK2. AA range:546-595 |
| Molecular Weight | 115 |
| Purification | The antibody was affinity-purified from rabbit antiserum by affinity-chromatography using epitope-specific immunogen. |
| Conjugation | Unconjugated |
Storage & Handling
−| Storage | Maintain refrigerated at 2-8°C for up to 2 weeks. For long term storage store at -20°C in small aliquots to prevent freeze-thaw cycles. |
|---|---|
| Buffer/Preservatives | PBS with 0.02% sodium azide and 50% glycerol pH 7.4. |
| Concentration | 1 mg/ml |
| Expiration Date | 12 months from date of receipt. |
| Disclaimer | For research use only |
Alternative Names
−Similar Products
−PYK2 (phospho Tyr881) rabbit pAb Antibody [orb768071]
ELISA, IF, IHC, WB
Human, Mouse, Rat
Polyclonal
Unconjugated
100 μl, 50 μlPYK2 (phospho Tyr580) rabbit pAb Antibody [orb768072]
ELISA, IF, IHC, WB
Human, Mouse, Rat
Polyclonal
Unconjugated
100 μl, 50 μlPYK2 (phospho Tyr579) rabbit pAb Antibody [orb768073]
ELISA, IF, IHC, WB
Human, Mouse, Rat
Polyclonal
Unconjugated
50 μl, 100 μlPYK2 (phospho Tyr402) rabbit pAb Antibody [orb768074]
ELISA, IF, IHC
Human, Mouse, Rat
Polyclonal
Unconjugated
100 μl, 50 μlphospho-PTK2 (Tyr576+Tyr577) Rabbit pAb, PerCP-Cy7 conjugated [orb2845003]
IF
Bovine, Canine, Equine, Gallus, Human, Mouse, Rabbit
Rat
Rabbit
Polyclonal
PerCP/Cy7
100 μl

Quality Guarantee
Explore bioreagents carefree to elevate your research. All our products are rigorously tested for performance. If a product does not perform as described on its datasheet, our scientific support team will provide expert troubleshooting, a prompt replacement, or a refund. For full details, please see our Terms & Conditions and Buying Guide. Contact us at support@biorbyt.com.

Western Blot analysis of various cells using PYK2 Polyclonal Antibody.

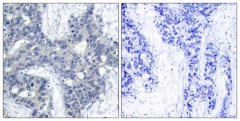
Immunohistochemical analysis of paraffin-embedded Human colon cancer. Antibody was diluted at 1:100 (4°C overnight). High-pressure and temperature Tris-EDTA, pH8.0 was used for antigen retrieval. Negetive control (right) obtaned from antibody was pre-absorbed by immunogen peptide.

Immunohistochemistry analysis of paraffin-embedded human brain tissue, using PYK2 Antibody. The picture on the right is blocked with the synthesized peptide.

Western blot analysis of lysates from COS cells, treated with UV 15', using PYK2 Antibody. The lane on the right is blocked with the synthesized peptide.
Documents Download
Request a Document
Protocol Information
PYK2 rabbit pAb Antibody (orb766161)
Participating in our Biorbyt product reviews program enables you to support fellow scientists by sharing your firsthand experience with our products.
Login to Submit a Review












