You have no items in your shopping cart.
Rab 18 rabbit pAb Antibody
Description
Images & Validation
−| Tested Applications | ELISA, IHC, WB |
|---|---|
| Dilution Range | WB 1:500-2000;IHC-p 1:50-300; ELISA 2000-20000 |
| Reactivity | Human, Mouse, Rat |
Key Properties
−| Antibody Type | Recombinant Antibody |
|---|---|
| Clonality | Recombinant |
| Isotype | IgG |
| Immunogen | The antiserum was produced against synthesized peptide derived from human RAB18. AA range:103-152 |
| Molecular Weight | 28 |
| Purification | The antibody was affinity-purified from rabbit antiserum by affinity-chromatography using epitope-specific immunogen. |
| Conjugation | Unconjugated |
Storage & Handling
−| Storage | Maintain refrigerated at 2-8°C for up to 2 weeks. For long term storage store at -20°C in small aliquots to prevent freeze-thaw cycles. |
|---|---|
| Buffer/Preservatives | PBS with 0.02% sodium azide and 50% glycerol pH 7.4. |
| Concentration | 1 mg/ml |
| Expiration Date | 12 months from date of receipt. |
| Disclaimer | For research use only |
Alternative Names
−Similar Products
−JWA Rabbit pAb, AP conjugated [orb2875807]
ELISA
Bovine, Canine, Equine, Human, Mouse, Porcine, Rabbit, Rat, Sheep
Rabbit
Polyclonal
AP
100 μlJWA Rabbit pAb, AE conjugated [orb2875808]
ELISA
Bovine, Canine, Equine, Human, Mouse, Porcine, Rabbit, Rat, Sheep
Rabbit
Polyclonal
AE
100 μl

Quality Guarantee
Explore bioreagents carefree to elevate your research. All our products are rigorously tested for performance. If a product does not perform as described on its datasheet, our scientific support team will provide expert troubleshooting, a prompt replacement, or a refund. For full details, please see our Terms & Conditions and Buying Guide. Contact us at support@biorbyt.com.

Western Blot analysis of MCF-7 cells using Rab 18 Polyclonal Antibody.

Western blot analysis of lysates from MCF-7 and HUVEC cells, using RAB18 Antibody. The lane on the right is blocked with the synthesized peptide.

Western blot analysis of the lysates from HepG2 cells using RAB18 antibody.

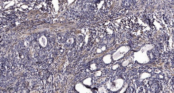
Immunohistochemical analysis of paraffin-embedded human Gastric adenocarcinoma. 1, Antibody was diluted at 1:200 (4°C overnight). 2, Tris-EDTA, pH9.0 was used for antigen retrieval. 3, Secondary antibody was diluted at 1:200 (room temperature, 45min).
Documents Download
Request a Document
Protocol Information
Rab 18 rabbit pAb Antibody (orb768149)
Participating in our Biorbyt product reviews program enables you to support fellow scientists by sharing your firsthand experience with our products.
Login to Submit a Review