You have no items in your shopping cart.
Rab13 Rabbit Polyclonal Antibody
Description
Research Area
Images & Validation
−| Tested Applications | WB |
|---|---|
| Reactivity | Mouse |
| Predicted Reactivity | Bovine, Canine, Equine, Guinea pig, Human, Rabbit, Rat, Zebrafish |
Key Properties
−| Host | Rabbit |
|---|---|
| Clonality | Polyclonal |
| Target | Rab13 |
| Molecular Weight | 23kDa |
| Purification | Affinity Purified |
| Conjugation | Unconjugated |
Storage & Handling
−| Storage | Maintain refrigerated at 2-8°C for up to 2 weeks. For long term storage store at -20°C in small aliquots to prevent freeze-thaw cycles. |
|---|---|
| Buffer/Preservatives | Liquid. Purified antibody supplied in 1x PBS buffer with 0.09% (w/v) sodium azide and 2% sucrose. |
| Concentration | 0.5 mg/ml |
| Disclaimer | For research use only |
Alternative Names
−Similar Products
−MICALL1 Rabbit Polyclonal Antibody [orb1993156]
ELISA, FC, IHC, WB
Human, Mouse, Rat
Rabbit
Polyclonal
Unconjugated
100 μgRAB13 Rabbit Polyclonal Antibody [orb1097974]
ELISA, FC, ICC, IF, IHC, WB
Human, Rat
Rabbit
Polyclonal
Unconjugated
100 μgRAB13 Rabbit Polyclonal Antibody [orb334522]
FC, ICC, IF, WB
Human
Rabbit
Polyclonal
Unconjugated
100 μgRAB13 rabbit pAb Antibody [orb772986]
ELISA, WB
Human, Mouse, Rat
Polyclonal
Unconjugated
50 μl, 100 μl

Quality Guarantee
Explore bioreagents carefree to elevate your research. All our products are rigorously tested for performance. If a product does not perform as described on its datasheet, our scientific support team will provide expert troubleshooting, a prompt replacement, or a refund. For full details, please see our Terms & Conditions and Buying Guide. Contact us at support@biorbyt.com.

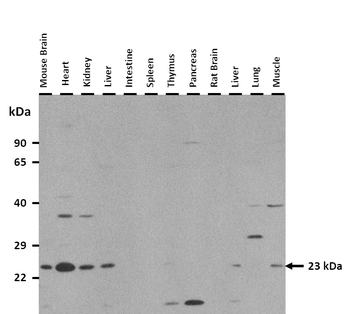
25 ug of the indicated Mouse whole tissue extracts was loaded onto a 12% SDS-PAGE gel. 1 ug/ml of the antibody was used in this experiment.

WB Suggested Anti-Rab13 Antibody, Titration: 1.0 ug/ml, Positive Control: Mouse Heart.
Documents Download
Request a Document
Rab13 Rabbit Polyclonal Antibody (orb578639)
Participating in our Biorbyt product reviews program enables you to support fellow scientists by sharing your firsthand experience with our products.
Login to Submit a Review





























