You have no items in your shopping cart.
RAB5A Antibody
Description
Research Area
Images & Validation
−| Tested Applications | ELISA, IF, IHC, IP, WB |
|---|---|
| Dilution range | WB: 1:200-1:2000; IP:1:200-1:2000; IHC: 1:50-1:500; IF: 1:50-1:500 |
| Reactivity | Human, Mouse, Rat |
Key Properties
−| Antibody Type | Primary Antibody |
|---|---|
| Host | Rabbit |
| Clonality | Polyclonal |
| Isotype | IgG |
| Immunogen | RAB5A, member RAS oncogene family |
| Target | RAB5A |
| Molecular Weight | 26 kDa |
| Purity | ≥95% as determined by SDS-PAGE |
| Purification | Immunogen affinity purified |
| Conjugation | Unconjugated |
Storage & Handling
−| Storage | Maintain refrigerated at 2-8°C for up to 2 weeks. For long term storage store at -20°C in small aliquots to prevent freeze-thaw cycles. |
|---|---|
| Form/Appearance | liquid |
| Disclaimer | For research use only |
Alternative Names
−Similar Products
−RAB5A antibody [orb19552]
ICC, IF, IHC-P, WB
Guinea pig, Human, Mouse, Rat
Rabbit
Polyclonal
Unconjugated
100 μgRAB5A/B/C Antibody [orb1145802]
ELISA, ICC, IF, IHC, WB
Human, Mouse, Rat
Rabbit
Polyclonal
Unconjugated
100 μgRAB5A Antibody [orb50978]
ELISA, IF, IHC, WB
Human, Mouse, Rat
Rabbit
Polyclonal
Unconjugated
50 μg, 100 μg

Quality Guarantee
Explore bioreagents carefree to elevate your research. All our products are rigorously tested for performance. If a product does not perform as described on its datasheet, our scientific support team will provide expert troubleshooting, a prompt replacement, or a refund. For full details, please see our Terms & Conditions and Buying Guide. Contact us at support@biorbyt.com.

mouse brain tissue were subjected to SDS PAGE followed by western blot with orb630447 (RAB5A antibody) at dilution of 1:500.

Immunofluorescent analysis of (-20℃ Ethanol) fixed HeLa cells using orb630447 (RAB5A Antibody) at dilution of 1:50 and Alexa Fluor 488-conjugated Goat Anti-Rabbit IgG (H+L).

IP Result of anti-RAB5A (IP: orb630447, 4 ug; Detection: orb630447 1:500) with mouse brain tissue lysate 4000 ug.

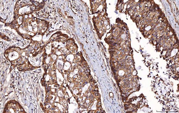
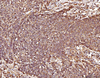
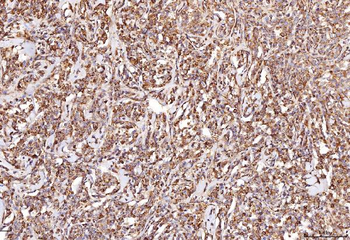
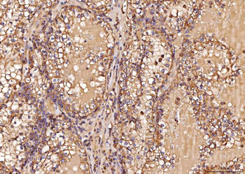
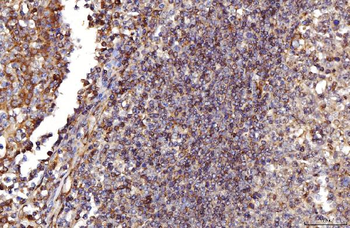
Immunohistochemistry of paraffin-embedded human gliomas tissue slide using orb630447 (RAB5A Antibody) at dilution of 1:200 heat mediated antigen retrieved with Tris-EDTA buffer (pH9).
Quick Database Links
UniProt Details
−Documents Download
Request a Document
Protocol Information
RAB5A Antibody (orb630447)
Participating in our Biorbyt product reviews program enables you to support fellow scientists by sharing your firsthand experience with our products.
Login to Submit a Review































