You have no items in your shopping cart.
Rabbit Alpha-Adducin Antibody
Description
Research Area
Images & Validation
−| Tested Applications | IHC, IP, WB |
|---|---|
| Dilution Range | WB - 1:10,000 - 1:25,000; IP - 2 - 10 µg/mg lysate; IHC - 1:500 - 1:2,000. Epitope retrieval with citrate buffer pH 6.0 is recommended for FFPE tissue sections. |
| Reactivity | Human |
| Application Notes |
Key Properties
−| Antibody Type | Primary Antibody |
|---|---|
| Host | Rabbit |
| Clonality | Polyclonal |
| Isotype | IgG |
| Immunogen | Between 650 and 700 |
| Target | Alpha-Adducin |
| Purification | Antigen Affinity Purified |
| Conjugation | Unconjugated |
Storage & Handling
−| Storage | 2 - 8°C |
|---|---|
| Form/Appearance | Liquid |
| Buffer/Preservatives | Tris-citrate/phosphate buffer, pH 7 to 8 containing 0.09% Sodium Azide |
| Concentration | 1000 µg/ml |
| Expiration Date | 12 months from date of receipt. |
| Disclaimer | For research use only |
Alternative Names
−Similar Products
−Adducin α/β (phospho Ser726/713) rabbit pAb Antibody [orb764379]
ELISA, IF, IHC, WB
Human, Mouse, Rat
Polyclonal
Unconjugated
100 μl, 50 μlAdducin α/β rabbit pAb Antibody [orb764479]
ELISA, IF, IHC, IP, WB
Human, Mouse, Rat
Polyclonal
Unconjugated
100 μl, 50 μlRabbit Alpha-Adducin Antibody [orb1524325]
IHC, IP, WB
Human
Rabbit
Polyclonal
Unconjugated
100 μl, 10 μlADD1 rabbit pAb Antibody [orb767548]
ELISA, IF, IHC
Human, Mouse, Rat
Polyclonal
Unconjugated
100 μl, 50 μl

Quality Guarantee
Explore bioreagents carefree to elevate your research. All our products are rigorously tested for performance. If a product does not perform as described on its datasheet, our scientific support team will provide expert troubleshooting, a prompt replacement, or a refund. For full details, please see our Terms & Conditions and Buying Guide. Contact us at support@biorbyt.com.

Detection of human Alpha-Adducin by western blot. Samples: Whole cell lysate (50 µg) from HeLa, HEK293T, and Jurkat cells prepared using NETN lysis buffer. Antibody: Affinity purified rabbit anti-Alpha-Adducin antibody orb1524323 used for WB at 0.04 µg/ml. Detection: Chemiluminescence with an exposure time of 3 seconds.

Detection of human Alpha-Adducin by western blot of immunoprecipitates. Samples: Whole cell lysate (0.5 or 1.0 mg per IP reaction; 20% of IP loaded) from HeLa cells prepared using NETN lysis buffer. Antibodies: Affinity purified rabbit anti-Alpha-Adducin antibody orb1524323 used for IP at 6 µg per reaction.

Detection of human Alpha-Adducin by immunohistochemistry.Sample: FFPE section of human ovarian carcinoma. Antibody: Affinity purified rabbit anti-Alpha-Adducin (Cat. No. orb1524323) used at a dilution of 1: 1, 000 (1µg/ml). Detection: DAB

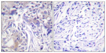
Detection of human Alpha-Adducin by immunohistochemistry. Samples: FFPE sections of human ovarian carcinoma. Antibody: Affinity purified rabbit anti-Alpha-Adducin Cat. No. orb1524323 used at a dilution of 1: 5, 000 (0.2µg/ml) (right) and Cat. No. orb1524325 used at a dilution of 1: 5, 000 (0.2µg/ml) (left). Detection: DAB
Quick Database Links
UniProt Details
−NCBI Reference Sequences
−| Protein | NP_054909.2 |
|---|
Documents Download
Request a Document
Protocol Information
Rabbit Alpha-Adducin Antibody (orb1524323)
Participating in our Biorbyt product reviews program enables you to support fellow scientists by sharing your firsthand experience with our products.
Login to Submit a Review















