You have no items in your shopping cart.
Rabbit CHD3 Antibody
Description
Images & Validation
−| Tested Applications | IHC, IP, WB |
|---|---|
| Dilution Range | WB - 1:2,000 - 1:10,000; IP - 2 - 5 µg/mg lysate; IHC - 1:500 - 1:2,000. Epitope retrieval with citrate buffer pH 6.0 is recommended for FFPE tissue sections. |
| Reactivity | Human |
| Application Notes |
Key Properties
−| Antibody Type | Primary Antibody |
|---|---|
| Host | Rabbit |
| Clonality | Polyclonal |
| Isotype | IgG |
| Immunogen | Between 1600 and 1650 |
| Target | CHD3 |
| Purification | Antigen Affinity Purified |
| Conjugation | Unconjugated |
Storage & Handling
−| Storage | 2 - 8°C |
|---|---|
| Form/Appearance | Liquid |
| Buffer/Preservatives | Tris-citrate/phosphate buffer, pH 7 to 8 containing 0.09% Sodium Azide |
| Concentration | 1000 µg/ml |
| Expiration Date | 12 months from date of receipt. |
| Disclaimer | For research use only |
Alternative Names
−Similar Products
−CHD3 Recombinant Rabbit Monoclonal Antibody [orb1499274]
FC, ICC
Rat
Human
Rabbit
Recombinant
Unconjugated
25 μl, 50 μl, 100 μlCHD3 Rabbit Polyclonal Antibody [orb625755]
ELISA, IHC, WB
Human
Rabbit
Polyclonal
Unconjugated
50 μg, 100 μgCHD3 Rabbit mAb [KD Validated] Antibody [orb1726731]
FC, ICC, IHC, WB
Human
Rabbit
Monoclonal
Unconjugated
50 μl, 100 μlCHD3 Rabbit mAb [KD Validated] Antibody [orb1727465]
FC, ICC, IHC, WB
Human, Mouse, Rat
Rabbit
Monoclonal
Unconjugated
100 μl, 50 μl

Quality Guarantee
Explore bioreagents carefree to elevate your research. All our products are rigorously tested for performance. If a product does not perform as described on its datasheet, our scientific support team will provide expert troubleshooting, a prompt replacement, or a refund. For full details, please see our Terms & Conditions and Buying Guide. Contact us at support@biorbyt.com.

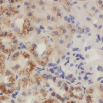
Detection of human CHD3 by immunohistochemistry. Sample: FFPE section of human prostate carcinoma. Antibody: Affinity purified rabbit anti-CHD3 used at a dilution of 1:1, 000 (1µg/ml).

Detection of human CHD3 by WB and IP.Samples: HeLa, HEK293T and Jurkat cells. Antibodies: Affinity purified rabbit anti-CHD3 antibody orb1528814 used for WB at 0.1 µg/ml (A) and 1 µg/ml (B) and used for IP at 6 µg/mg lysate.
Quick Database Links
UniProt Details
−NCBI Reference Sequences
−| Protein | NP_001005273.1 |
|---|
Documents Download
Request a Document
Protocol Information
Rabbit CHD3 Antibody (orb1528814)
Participating in our Biorbyt product reviews program enables you to support fellow scientists by sharing your firsthand experience with our products.
Login to Submit a Review





![CHD3 Rabbit mAb [KD Validated] Antibody](/images/pub/media/catalog/product/NewWebsite/18/orb1726731_1.png)
![CHD3 Rabbit mAb [KD Validated] Antibody](/images/pub/media/catalog/product/NewWebsite/18/orb1726731_2.png)
![CHD3 Rabbit mAb [KD Validated] Antibody](/images/pub/media/catalog/product/NewWebsite/18/orb1727465_1.png)
![CHD3 Rabbit mAb [KD Validated] Antibody](/images/pub/media/catalog/product/NewWebsite/18/orb1727465_2.png)