You have no items in your shopping cart.
Rabbit GNL3 Antibody
Description
Research Area
Images & Validation
−| Tested Applications | IHC, IP, WB |
|---|---|
| Dilution Range | WB - 1:2,000 - 1:10,000; IP - 2 - 10 µg/mg lysate; IHC - 1:100 to 1:500. Epitope retrieval with citrate buffer pH6.0 is recommended for FFPE tissue sections. |
| Reactivity | Human, Mouse |
| Application Notes |
Key Properties
−| Antibody Type | Primary Antibody |
|---|---|
| Host | Rabbit |
| Clonality | Polyclonal |
| Isotype | IgG |
| Immunogen | Between 499 and C-terminus |
| Target | GNL3 |
| Purification | Antigen Affinity Purified |
| Conjugation | Unconjugated |
Storage & Handling
−| Storage | 2 - 8°C |
|---|---|
| Form/Appearance | Liquid |
| Buffer/Preservatives | Tris-buffered Saline containing 0.1% rAlbumin and 0.09% Sodium Azide |
| Concentration | 200 µg/ml |
| Disclaimer | For research use only |
Alternative Names
−Similar Products
−Nucleostemin/GNL3 Rabbit Polyclonal Antibody [orb865524]
ELISA, FC, ICC, IF, IHC, WB
Human, Mouse, Rat
Rabbit
Polyclonal
Unconjugated
100 μgGNL3 Rabbit Polyclonal Antibody [orb584132]
WB
Bovine, Canine, Equine, Guinea pig, Rabbit, Rat
Human, Mouse
Rabbit
Polyclonal
Unconjugated
100 μlRabbit GNL3 Antibody [orb1529932]
IHC, IP, WB
Equine, Monkey
Human, Mouse
Rabbit
Polyclonal
Unconjugated
100 μl, 10 μlNucleostemin Rabbit Polyclonal Antibody [orb77187]
ELISA, WB
Mouse, Rat
Human
Rabbit
Polyclonal
Unconjugated
100 μg

Quality Guarantee
Explore bioreagents carefree to elevate your research. All our products are rigorously tested for performance. If a product does not perform as described on its datasheet, our scientific support team will provide expert troubleshooting, a prompt replacement, or a refund. For full details, please see our Terms & Conditions and Buying Guide. Contact us at support@biorbyt.com.

Detection of mouse GNL3 by western blot.Samples:Whole cell lysate from TMCK-1 and NIH 3T3 cells. Antibody: Affinity purified rabbit anti-GNL3 antibody orb1529930 at 0.1 µg/ml.

Detection of human GNL3 by western blot.Samples:Whole cell lysate from HeLa, HEK293T, and Jurkat cells. Antibody: Affinity purified rabbit anti-GNL3 antibody orb1529930 at 0.04 µg/ml.

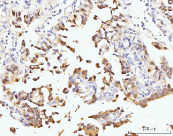
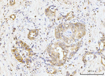
Detection of mouse GNL3 by immunohistochemistry. Sample: FFPE section of mouse CT26 colon carcinoma. Antibody: Affinity purified rabbit anti-GNL3 used at a dilution of 1:200 (1µg/ml).

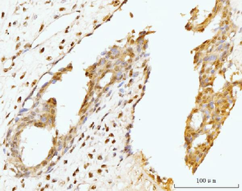
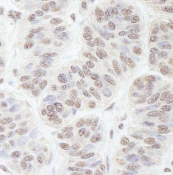
Detection of human GNL3 by immunohistochemistry. Sample: FFPE section of human breast carcinoma. Antibody: Affinity purified rabbit anti-GNL3 used at a dilution of 1:200 (1µg/ml).

Detection of human GNL3 by western blot of immunoprecipitates.Samples:Whole cell lysate from HEK293T cells. Antibodies: Affinity purified rabbit anti-GNL3 antibody.
Quick Database Links
UniProt Details
−NCBI Reference Sequences
−| Protein | NP_055181.3 |
|---|
Documents Download
Request a Document
Protocol Information
Rabbit GNL3 Antibody (orb1529930)
Participating in our Biorbyt product reviews program enables you to support fellow scientists by sharing your firsthand experience with our products.
Login to Submit a Review











