You have no items in your shopping cart.
Rabbit HSP60 Antibody
Description
Research Area
Images & Validation
−| Tested Applications | IHC, IP, WB |
|---|---|
| Dilution Range | WB - 1:2,000 - 1:10,000; IP - 2 - 5 µg/mg lysate; IHC - 1:200 - 1:1,000. Epitope retrieval with citrate buffer pH 6.0 is recommended for FFPE tissue sections. |
| Reactivity | Human |
| Predicted Reactivity | Bovine |
| Application Notes |
Key Properties
−| Antibody Type | Primary Antibody |
|---|---|
| Host | Rabbit |
| Clonality | Polyclonal |
| Isotype | IgG |
| Immunogen | Between 325 and 375 |
| Target | HSP60 |
| Purification | Antigen Affinity Purified |
| Conjugation | Unconjugated |
Storage & Handling
−| Storage | 2 - 8°C |
|---|---|
| Form/Appearance | Liquid |
| Buffer/Preservatives | Tris-buffered Saline containing 0.1% rAlbumin and 0.09% Sodium Azide |
| Concentration | 200 µg/ml |
| Expiration Date | 12 months from date of receipt. |
| Disclaimer | For research use only |
Alternative Names
−Similar Products
−HSP60 Rabbit Polyclonal Antibody [orb10846]
ICC, IF, IHC-Fr, IHC-P, WB
Bovine, Canine, Equine, Rabbit
Human, Mouse, Rat
Rabbit
Polyclonal
Unconjugated
50 μl, 100 μl, 200 μlHsp60/HSPD1 Rabbit Polyclonal Antibody [orb251520]
ICC, IF, IHC, WB
Human, Mouse, Rat
Rabbit
Polyclonal
Unconjugated
100 μgHSP60 rabbit pAb Antibody [orb765459]
ELISA, IF, IHC, WB
Human, Mouse, Rat
Polyclonal
Unconjugated
100 μlHspd1 Rabbit Polyclonal Antibody [orb584895]
WB
Bovine, Canine, Equine, Guinea pig, Rabbit, Sheep, Yeast, Zebrafish
Human, Mouse, Rat
Rabbit
Polyclonal
Unconjugated
100 μl

Quality Guarantee
Explore bioreagents carefree to elevate your research. All our products are rigorously tested for performance. If a product does not perform as described on its datasheet, our scientific support team will provide expert troubleshooting, a prompt replacement, or a refund. For full details, please see our Terms & Conditions and Buying Guide. Contact us at support@biorbyt.com.

Detection of human HSP60 by western blot and immunoprecipitation. Samples: Whole cell lysate from HeLa (5, 15 and 50 µg for WB; 1 mg for IP, 20% of IP loaded) and HEK293T (T; 50 µg) cells. Antibodies: Affinity purified rabbit anti-HSP60 antibody orb1525891 used for WB at 0.04 µg/ml (A) and 0.4 µg/ml (B) and used for IP at 3 µg/mg lysate. HSP60 was also immunoprecipitated by rabbit anti-HSP60 antibodies, which recognize upstream epitopes. Detection: Chemiluminescence with exposure times of 1 second (A and B).

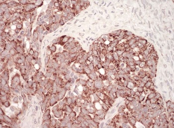
Detection of human HSP60 by immunohistochemistry.Sample: FFPE section of human ovarian carcinoma. Antibody: Affinity purified rabbit anti-HSP60 (Cat. No. orb1525891) used at a dilution of 1: 200 (1µg/ml). Detection: Vector Laboratories ImmPACT NovaRED Peroxidase Substrate
Quick Database Links
UniProt Details
−NCBI Reference Sequences
−| Protein | NP_002147.2 |
|---|
Documents Download
Request a Document
Protocol Information
Rabbit HSP60 Antibody (orb1525891)
Participating in our Biorbyt product reviews program enables you to support fellow scientists by sharing your firsthand experience with our products.
Login to Submit a Review





















