You have no items in your shopping cart.
Rabbit PAF Antibody
Description
Images & Validation
−| Tested Applications | IHC, IP |
|---|---|
| Dilution Range | WB - Not recommended. Use rabbit anti-PAF antibody A304-374A.; IP - 2 - 10 µg/mg lysate; IHC - 1:500 - 1:2,000. Epitope retrieval with citrate buffer pH 6.0 is recommended for FFPE tissue sections. |
| Reactivity | Human |
| Application Notes |
Key Properties
−| Antibody Type | Primary Antibody |
|---|---|
| Host | Rabbit |
| Clonality | Polyclonal |
| Isotype | IgG |
| Immunogen | Between 1 and 50 |
| Target | PAF |
| Purification | Antigen Affinity Purified |
| Conjugation | Unconjugated |
Storage & Handling
−| Storage | 2 - 8°C |
|---|---|
| Form/Appearance | Liquid |
| Buffer/Preservatives | Tris-citrate/phosphate buffer, pH 7 to 8 containing 0.09% Sodium Azide |
| Concentration | 1000 µg/ml |
| Expiration Date | 12 months from date of receipt. |
| Disclaimer | For research use only |
Alternative Names
−Similar Products
−PLA2G7 Rabbit Polyclonal Antibody [orb10981]
IF, IHC-Fr, IHC-P, WB
Canine
Human, Mouse, Rat
Rabbit
Polyclonal
Unconjugated
200 μl, 50 μl, 100 μlLIS1 Rabbit Polyclonal Antibody [orb10992]
IF, IHC-Fr, IHC-P, WB
Human
Human, Mouse, Rat
Rabbit
Polyclonal
Unconjugated
50 μl, 100 μl, 200 μlLCAT Polyclonal Antibody [orb1417993]
ELISA, IF, IHC-Fr, IHC-P, WB
Porcine, Rat
Rabbit
Polyclonal
Unconjugated
100 μlPAFR/PAF Receptor Rabbit Polyclonal Antibody [orb11225]
FC, IF, IHC-Fr, IHC-P, WB
Bovine, Canine, Gallus, Rabbit
Human, Mouse, Rat
Rabbit
Polyclonal
Unconjugated
50 μl, 100 μl, 200 μlPeroxin 2 rabbit pAb Antibody [orb766054]
ELISA, IF, IHC, WB
Human, Mouse, Rat
Polyclonal
Unconjugated
100 μl, 50 μl

Quality Guarantee
Explore bioreagents carefree to elevate your research. All our products are rigorously tested for performance. If a product does not perform as described on its datasheet, our scientific support team will provide expert troubleshooting, a prompt replacement, or a refund. For full details, please see our Terms & Conditions and Buying Guide. Contact us at support@biorbyt.com.

Detection of human PAF by western blot of immunoprecipitates. Samples: Whole cell lysate (0.5 or 1.0 mg per IP reaction; 20% of IP loaded) prepared using RIPA buffer from HeLa cells. Antibodies: Affinity purified rabbit anti-PAF antibody orb1523114 used for IP at 6 µg per reaction.

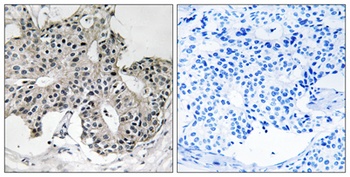
Detection of human PAF by immunohistochemistry.Sample: FFPE section of human prostate carcinoma. Antibody: Affinity purified rabbit anti-PAF (Cat. No. orb1523114) used at a dilution of 1: 1, 000 (1µg/ml). Detection: DAB. Counterstain: IHC Hematoxylin (blue).
Quick Database Links
UniProt Details
−NCBI Reference Sequences
−| Protein | NP_055551.1 |
|---|
Documents Download
Request a Document
Protocol Information
Rabbit PAF Antibody (orb1523114)
Participating in our Biorbyt product reviews program enables you to support fellow scientists by sharing your firsthand experience with our products.
Login to Submit a Review






















