You have no items in your shopping cart.
Rabbit USP28 Antibody
Description
Images & Validation
−| Tested Applications | IHC, IP, WB |
|---|---|
| Dilution Range | WB - 1:2,000 - 1:10,000; IP - 2 - 10 µg/mg lysate; IHC - 1:500 to 1:2,000. Epitope retrieval with citrate buffer pH6.0 is recommended for FFPE tissue sections. |
| Reactivity | Human |
| Application Notes |
Key Properties
−| Antibody Type | Primary Antibody |
|---|---|
| Host | Rabbit |
| Clonality | Polyclonal |
| Isotype | IgG |
| Immunogen | Between 50 and 100 |
| Target | USP28 |
| Purification | Antigen Affinity Purified |
| Conjugation | Unconjugated |
Storage & Handling
−| Storage | 2 - 8°C |
|---|---|
| Form/Appearance | Liquid |
| Buffer/Preservatives | Tris-buffered Saline containing 0.1% rAlbumin and 0.09% Sodium Azide |
| Concentration | 200 µg/ml |
| Expiration Date | 12 months from date of receipt. |
| Disclaimer | For research use only |
Alternative Names
−Similar Products
−USP28 Rabbit Polyclonal Antibody [orb632440]
ELISA, IHC, IP, WB
Human, Mouse, Rat
Rabbit
Polyclonal
Unconjugated
100 μg, 50 μgUSP28 rabbit pAb Antibody [orb771862]
ELISA, WB
Human, Mouse, Rat
Polyclonal
Unconjugated
100 μl, 50 μlUSP28 Rabbit Polyclonal Antibody [orb100097]
IF, IHC-Fr, IHC-P, WB
Human, Rat
Mouse
Rabbit
Polyclonal
Unconjugated
200 μl, 50 μl, 100 μlUSP28 (Phospho-S714) Rabbit Polyclonal Antibody [orb665520]
WB
Human
Rabbit
Polyclonal
Unconjugated
50 μl, 30 μl, 100 μl, 200 μl

Quality Guarantee
Explore bioreagents carefree to elevate your research. All our products are rigorously tested for performance. If a product does not perform as described on its datasheet, our scientific support team will provide expert troubleshooting, a prompt replacement, or a refund. For full details, please see our Terms & Conditions and Buying Guide. Contact us at support@biorbyt.com.

Detection of human USP28 by western blot.Samples: Whole cell lysate from U2OS, K-562, HEK293T, GaMG, and HeLa cells. Antibody: Affinity purified rabbit anti-USP28 antibody orb1529429 at 0.04 µg/ml.

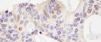
Detection of human USP28 by immunohistochemistry. Sample: FFPE section of human lung carcinoma. Antibody: Affinity purified rabbit anti-USP28 used at a dilution of 1:1, 000 (0.2µg/ml).

Detection of human USP28 by western blot of immunoprecipitates.Samples: Whole cell lysate from HeLa cells. Antibodies: Affinity purified rabbit anti-USP28 antibody.
Quick Database Links
UniProt Details
−NCBI Reference Sequences
−| Protein | NP_065937.1 |
|---|
Documents Download
Request a Document
Protocol Information
Rabbit USP28 Antibody (orb1529429)
Participating in our Biorbyt product reviews program enables you to support fellow scientists by sharing your firsthand experience with our products.
Login to Submit a Review








