You have no items in your shopping cart.
Rabbit USP7 Antibody
Description
Research Area
Images & Validation
−| Tested Applications | IHC, IP, WB |
|---|---|
| Dilution range | WB - 1:10,000 - 1:25,000; IP - 2 - 10 µg/mg lysate; IHC - 1:1,000 - 1:5,000. Epitope retrieval with citrate buffer pH6.0 is recommended for FFPE tissue sections. |
| Reactivity | Human, Mouse |
| Predicted Reactivity | Rat |
| Application Notes |
Key Properties
−| Antibody Type | Primary Antibody |
|---|---|
| Host | Rabbit |
| Clonality | Polyclonal |
| Isotype | IgG |
| Immunogen | Between 1 and 50 |
| Target | USP7 |
| Purification | Antigen Affinity Purified |
| Conjugation | Unconjugated |
Storage & Handling
−| Storage | 2 - 8°C |
|---|---|
| Form/Appearance | Liquid |
| Buffer/Preservatives | Tris-citrate/phosphate buffer, pH 7 to 8 containing 0.09% Sodium Azide |
| Concentration | 1000 µg/ml |
| Disclaimer | For research use only |
Alternative Names
−Similar Products
−USP7 (HAUSP) Antibody (C-term) [orb1931698]
IHC-P, WB
Mouse, Rat
Human
Rabbit
Polyclonal
Unconjugated
400 μlRabbit USP7 Antibody [orb1530775]
IHC, WB
Gallus
Human, Mouse
Rabbit
Polyclonal
Unconjugated
100 μl, 10 μlUSP7 Antibody [orb633030]
ELISA, IF, IHC, WB
Human, Mouse, Rat
Rabbit
Polyclonal
Unconjugated
100 μg, 50 μgUSP7 (HAUSP) Antibody (C-term) [orb33734]
IHC-P, WB
Mouse, Rat
Human
Rabbit
Polyclonal
Unconjugated
80 μlUSP7 Rabbit Polyclonal Antibody [orb584209]
WB
Bovine, Canine, Equine, Guinea pig, Mouse, Rabbit, Zebrafish
Human, Rat
Rabbit
Polyclonal
Unconjugated
100 μl

Quality Guarantee
Explore bioreagents carefree to elevate your research. All our products are rigorously tested for performance. If a product does not perform as described on its datasheet, our scientific support team will provide expert troubleshooting, a prompt replacement, or a refund. For full details, please see our Terms & Conditions and Buying Guide. Contact us at support@biorbyt.com.

Detection of human USP7 by western blot.Samples: Whole cell lysate from HEK293T, RKO, Hep-G2, Jurkat, HeLa, TCMK-1, and NIH 3T3 cells. Antibody: Affinity purified rabbit anti-USP7 antibody orb1530777 at 0.04 µg/ml.

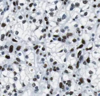
Detection of mouse USP7 by immunohistochemistry. Sample: FFPE section of mouse renal cell carcinoma. Antibody: Affinity purified rabbit anti-USP7 used at 1:5, 000 (0.2µg/ml).

Detection of human USP7 by immunohistochemistry. Sample: FFPE section of human ovarian carcinoma. Antibody: Affinity purified rabbit anti-USP7 used at 1:5, 000 (0.2µg/ml).

Detection of human USP7 by western blot of immunoprecipitates.Samples: Whole cell lysate from HEK293T cells. Antibodies: Affinity purified rabbit anti-USP7 antibody.
Quick Database Links
UniProt Details
−NCBI Reference Sequences
−| Protein | NP_003461.1 |
|---|
Documents Download
Request a Document
Protocol Information
Rabbit USP7 Antibody (orb1530777)
Participating in our Biorbyt product reviews program enables you to support fellow scientists by sharing your firsthand experience with our products.
Login to Submit a Review











