You have no items in your shopping cart.
Rabbit IgG Antibody
Description
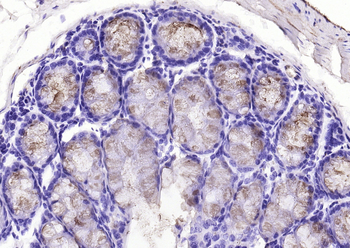
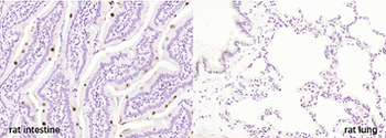
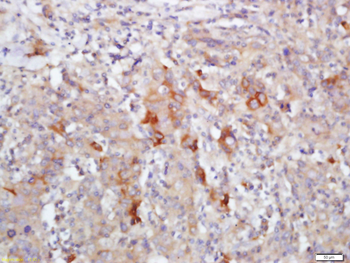
Images & Validation
−
Key Properties
−| Clonality | Polyclonal |
|---|---|
| Conjugation | Unconjugated |
Storage & Handling
−| Storage | Maintain refrigerated at 2-8°C for up to 2 weeks. For long term storage store at -20°C in small aliquots to prevent freeze-thaw cycles. |
|---|---|
| Form/Appearance | Lyophilized, stable white powder. No preservative added. |
| Disclaimer | For research use only |
Similar Products
−Goat Rabbit IgG(H+L) Antibody, FITC conjugated [orb688925]
FC, IF, IHC
Rabbit
Goat
Polyclonal
FITC
300 μlMulti-rAb Polymer HRP-Goat Anti-Rabbit Recombinant Secondary Antibody (H+L) [orb2302681]
IHC
Rabbit
Goat
Recombinant
HRP
10 x 5 ml, 3 x 5 ml, 5 mlRNA Helicase A/DHX9 Antibody [orb654322]
ELISA, FC, ICC, IF, IHC, IP, WB
Human, Mouse, Rat
Rabbit
Polyclonal
Unconjugated
100 μgFCGBP Rabbit Polyclonal Antibody [orb156853]
IF, IHC-Fr, IHC-P, WB
Canine, Rabbit
Human, Mouse, Rat
Rabbit
Polyclonal
Unconjugated
100 μl, 50 μl, 200 μlMulti-rAb CoraLite Plus 750-Goat Anti-Mouse Recombinant Secondary Antibody (H+L) [orb2302689]
FC, IF, WB
Mouse
Goat
Recombinant
CoraLite® Plus 750
1 ml, 200 μl

Quality Guarantee
Explore bioreagents carefree to elevate your research. All our products are rigorously tested for performance. If a product does not perform as described on its datasheet, our scientific support team will provide expert troubleshooting, a prompt replacement, or a refund. For full details, please see our Terms & Conditions and Buying Guide. Contact us at support@biorbyt.com.
Quick Database Links
Documents Download
Request a Document
Protocol Information
Rabbit IgG Antibody (orb22292)
Participating in our Biorbyt product reviews program enables you to support fellow scientists by sharing your firsthand experience with our products.
Login to Submit a Review






















































