You have no items in your shopping cart.
RANK antibody
Description
Images & Validation
−| Tested Applications | IHC-P |
|---|---|
| Dilution range | IHC-P: 1:100-1:500 |
| Reactivity | Human, Mouse, Rat |
Key Properties
−| Host | Rabbit |
|---|---|
| Clonality | Polyclonal |
| Isotype | IgG |
| Immunogen | KLH conjugated synthetic peptide derived from human RANK. Please contact us for the exact immunogen sequence. The peptide is available as orb393922. |
| Target | RANK |
| Molecular Weight | 130kDa |
| Purity | Purified by Protein A affinity chromatography. |
| Conjugation | Unconjugated |
Storage & Handling
−| Storage | Maintain refrigerated at 2-8°C for up to 2 weeks. For long term storage store at -20°C in small aliquots to prevent freeze-thaw cycles. |
|---|---|
| Form/Appearance | 10 mM PBS, 0.02% sodium azide |
| Concentration | - 100 μg (in 200 μl): 0.5 mg/ml- 200 μg (in 400 μl): 0.5 mg/ml |
| Disclaimer | For research use only |
Alternative Names
−Similar Products
−RANK Rabbit Polyclonal Antibody [orb312842]
FC, ICC
Mouse, Rat
Human
Rabbit
Polyclonal
Unconjugated
50 μl, 100 μl, 200 μlRat Receptor Activator of Nuclear Factor Kappa B (RANk) ELISA Kit [orb779629]
Rat
0.16-10 ng/mL
0.06 ng/mL
48 T, 96 THuman Receptor Activator of Nuclear Factor Kappa B (RANk) ELISA Kit [orb776798]
Human
0.16-10 ng/mL
0.057 ng/mL
96 T, 48 T

Quality Guarantee
Explore bioreagents carefree to elevate your research. All our products are rigorously tested for performance. If a product does not perform as described on its datasheet, our scientific support team will provide expert troubleshooting, a prompt replacement, or a refund. For full details, please see our Terms & Conditions and Buying Guide. Contact us at support@biorbyt.com.

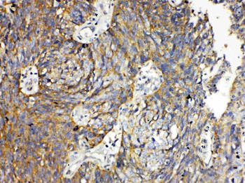
IHC-P staining of human breast cancer tissue using RANK antibody (2.5ug/ml)

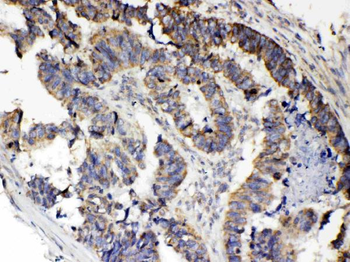
Immunohistochemical staining of paraffin embedded rat colon tissue using RANK antibody (2.5ug/ml)

Immunohistochemical staining of paraffin embedded rat pituitary tissue using anti-RANK (2.5ug/ml)

IHC-P image of rat pituitary tissue using anti-RANK (2.5ug/ml)
Documents Download
Request a Document
Filter by Applications
Filter by Species
Ayantika Kundu 1, Pratiti Ghosh 2, Biswadev Bishayi Verapamil and tangeretin enhances the M1 macrophages to M2 type in lipopolysaccharide-treated mice and inhibits the P-glycoprotein expression by downregulating STAT1/STAT3 and upregulating SOCS3 Int Immunopharmacol, (2024)
Applications
Reactivity
Gopinath Mukherjee 1, Sharmistha Samanta 1, Biswadev Bishayi TLR-4Ab and IFNγAb with exogenous IL-10 treated LPS induced mice shown differential inflammatory response upon RANKL-M-CSF stimulation in Resident Bone Marrow Cells Microb Pathog, (2025)
Applications
Reactivity
Ghosh, Rituparna et al. Simultaneous neutralization of TGF-? and IL-6 attenuates Staphylococcus aureus-induced arthritic inflammation through differential modulation of splenic and synovial macrophages Scand J Immunol, e13252 (2023)
Applications
Reactivity
Murray, Jonathan B. et al. Activation of (pro)renin by (pro)renin receptor in extracellular vesicles from osteoclasts Sci Rep, 11, 9214 (2021)
Applications
Reactivity
RANK antibody (orb6560)
Participating in our Biorbyt product reviews program enables you to support fellow scientists by sharing your firsthand experience with our products.
Login to Submit a Review









