You have no items in your shopping cart.
RAP1 rabbit pAb Antibody
Description
Images & Validation
−| Tested Applications | IHC, WB |
|---|---|
| Dilution range | WB 1:500-2000;IHC-p 1:50-300 |
| Reactivity | Human, Mouse, Rat |
Key Properties
−| Clonality | Polyclonal |
|---|---|
| Isotype | IgG |
| Immunogen | The antiserum was produced against synthesized peptide derived from human RAP1. AA range:203-252 |
| Molecular Weight | 55 |
| Purification | The antibody was affinity-purified from rabbit antiserum by affinity-chromatography using epitope-specific immunogen. |
| Conjugation | Unconjugated |
Storage & Handling
−| Storage | Maintain refrigerated at 2-8°C for up to 2 weeks. For long term storage store at -20°C in small aliquots to prevent freeze-thaw cycles. |
|---|---|
| Buffer/Preservatives | PBS with 0.02% sodium azide and 50% glycerol pH 7.4. |
| Concentration | 1 mg/ml |
| Disclaimer | For research use only |
Alternative Names
−Similar Products
−Rap1GAP rabbit pAb Antibody [orb766202]
ELISA, IF, IHC, WB
Human, Mouse
Polyclonal
Unconjugated
100 μl, 50 μlRGS14 Rabbit pAb, PerCP-Cy7 conjugated [orb2854607]
IF
Bovine, Human
Mouse, Rat
Rabbit
Polyclonal
PerCP/Cy7
100 μlRGS14 Rabbit pAb, Pacific Blue conjugated [orb2854608]
IF
Bovine, Human
Mouse, Rat
Rabbit
Polyclonal
Pacific Blue
100 μl

Quality Guarantee
Explore bioreagents carefree to elevate your research. All our products are rigorously tested for performance. If a product does not perform as described on its datasheet, our scientific support team will provide expert troubleshooting, a prompt replacement, or a refund. For full details, please see our Terms & Conditions and Buying Guide. Contact us at support@biorbyt.com.

Western Blot analysis of various cells using RAP1 Polyclonal Antibody diluted at 1:500.

Western blot analysis of ysate from 293 cells, using RAP1 antibody.

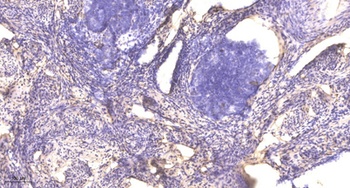
Immunohistochemical analysis of paraffin-embedded human Gastric adenocarcinoma. 1, Antibody was diluted at 1:200 (4°C overnight). 2, Tris-EDTA, pH9.0 was used for antigen retrieval. 3, Secondary antibody was diluted at 1:200 (room temperature, 45min).
Documents Download
Request a Document
Protocol Information
RAP1 rabbit pAb Antibody (orb766201)
Participating in our Biorbyt product reviews program enables you to support fellow scientists by sharing your firsthand experience with our products.
Login to Submit a Review






