You have no items in your shopping cart.
RARB Rabbit Polyclonal Antibody
Description
Research Area
Images & Validation
−| Tested Applications | FC, ICC, IF, IHC-Fr, IHC-P, WB |
|---|---|
| Dilution Range | WB=1:500-2000, IHC-P=1:100-500, IHC-F=1:100-500, ICC/IF=1:100-500, IF=1:100-500, Flow-Cyt=1ug/Test |
| Reactivity | Human, Mouse |
| Predicted Reactivity | Bovine, Canine, Gallus, Porcine, Rat |
Related Conjugates & Formulations
−Key Properties
−| Antibody Type | Primary Antibody |
|---|---|
| Host | Rabbit |
| Clonality | Polyclonal |
| Isotype | IgG |
| Immunogen | KLH conjugated synthetic peptide derived from human RARB (155-250/482aa) |
| Target | RARB |
| Molecular Weight | 50 kDa |
| Purification | Affinity purified by Protein A |
| Conjugation | Unconjugated |
Storage & Handling
−| Storage | Maintain refrigerated at 2-8°C for up to 2 weeks. For long term storage store at -20°C in small aliquots to prevent freeze-thaw cycles. |
|---|---|
| Form/Appearance | Liquid |
| Buffer/Preservatives | 0.01M TBS (pH7.4) with 1% rAlbumin, 0.02% Proclin300 and 50% Glycerol. |
| Concentration | 1mg/ml |
| Expiration Date | 12 months from date of receipt. |
| Disclaimer | For research use only |
Alternative Names
−Similar Products
−RARβ rabbit pAb Antibody [orb766203]
ELISA, IF, IHC, WB
Human, Mouse
Polyclonal
Unconjugated
100 μl, 50 μlRARB Rabbit Polyclonal Antibody [orb579504]
IHC, WB
Bovine, Canine, Equine, Porcine, Rabbit, Rat
Human, Mouse
Rabbit
Polyclonal
Unconjugated
100 μlRARB Rabbit Polyclonal Antibody [orb573746]
WB
Bovine, Canine, Equine, Guinea pig, Mouse, Rabbit, Rat
Human
Rabbit
Polyclonal
Unconjugated
100 μl

Quality Guarantee
Explore bioreagents carefree to elevate your research. All our products are rigorously tested for performance. If a product does not perform as described on its datasheet, our scientific support team will provide expert troubleshooting, a prompt replacement, or a refund. For full details, please see our Terms & Conditions and Buying Guide. Contact us at support@biorbyt.com.

Blank control: SHSY5Y. Primary Antibody (green line): Rabbit Anti-RAR Beta antibody (orb11327), Dilution: 1 ug/Test, Secondary Antibody: Goat anti-rabbit IgG-FITC, Dilution: 0.5 ug/Test. Protocol, The cells were fixed with 4% PFA (10 min at room temperature) and then permeabilized with 90% ice-cold methanol for 20 min at -20°C. The cells were then incubated in 5% BSA to block non-specific protein-protein interactions for 30 min at room temperature. Cells stained with Primary Antibody for 30 min at room temperature. The secondary antibody used for 40 min at room temperature. Acquisition of 20000 events was performed.

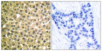
Paraformaldehyde-fixed, paraffin embedded (human brain glioma), Antigen retrieval by boiling in sodium citrate buffer (pH6.0) for 15 min, Block endogenous peroxidase by 3% hydrogen peroxide for 20 minutes, Blocking buffer (normal goat serum) at 37°C for 30 min, Antibody incubation with (RAR Beta) Polyclonal Antibody, Unconjugated (orb11327) at 1:200 overnight at 4°C, followed by operating according to SP Kit (Rabbit) instructionsand DAB staining.

Paraformaldehyde-fixed, paraffin embedded (Human brain glioma), Antigen retrieval by boiling in sodium citrate buffer (pH6.0) for 15 min, Block endogenous peroxidase by 3% hydrogen peroxide for 20 minutes, Blocking buffer (normal goat serum) at 37°C for 30 min, Antibody incubation with (RAR Beta) Polyclonal Antibody, Unconjugated (orb11327) at 1:400 overnight at 4°C, followed by operating according to SP Kit (Rabbit) instructionsand DAB staining.

Paraformaldehyde-fixed, paraffin embedded (human breast), Antigen retrieval by boiling in sodium citrate buffer (pH6.0) for 15 min, Block endogenous peroxidase by 3% hydrogen peroxide for 20 minutes, Blocking buffer (normal goat serum) at 37°C for 30 min, Antibody incubation with (RAR Beta) Polyclonal Antibody, Unconjugated (orb11327) at 1:200 overnight at 4°C, followed by operating according to SP Kit (Rabbit) instructionsand DAB staining.

Paraformaldehyde-fixed, paraffin embedded (Mouse brain), Antigen retrieval by boiling in sodium citrate buffer (pH6.0) for 15 min, Block endogenous peroxidase by 3% hydrogen peroxide for 20 minutes, Blocking buffer (normal goat serum) at 37°C for 30 min, Antibody incubation with (RAR Beta) Polyclonal Antibody, Unconjugated (orb11327) at 1:400 overnight at 4°C, followed by operating according to SP Kit (Rabbit) instructionsand DAB staining.

Paraformaldehyde-fixed, paraffin embedded (Mouse testis), Antigen retrieval by boiling in sodium citrate buffer (pH6.0) for 15 min, Block endogenous peroxidase by 3% hydrogen peroxide for 20 minutes, Blocking buffer (normal goat serum) at 37°C for 30 min, Antibody incubation with (RAR Beta) Polyclonal Antibody, Unconjugated (orb11327) at 1:400 overnight at 4°C, followed by operating according to SP Kit (Rabbit) instructionsand DAB staining.

Sample: Cerebrum (Mouse) Lysate at 40 ug, Primary: Anti-RAR Beta (orb11327) at 1/1000 dilution, Secondary: IRDye800CW Goat Anti-Rabbit IgG at 1/20000 dilution, Predicted band size: 50 kD, Observed band size: 50 kD.

Sample: Heart (Mouse) Lysate at 40 ug, Primary: Anti-RAR Beta (orb11327) at 1/500 dilution, Secondary: IRDye800CW Goat Anti-Rabbit IgG at 1/20000 dilution, Predicted band size: 50 kD, Observed band size: 50 kD.

Sample: Lane 1: Mouse Eye tissue lysates, Lane 2: Mouse Cerebrum tissue lysates, Primary: Anti-RAR Beta (orb11327) at 1/1000 dilution, Secondary: IRDye800CW Goat Anti-Rabbit IgG at 1/20000 dilution, Predicted band size: 50 kDa, Observed band size: 50 kDa.

U87MG cell, 4% Paraformaldehyde-fixed, Triton X-100 at room temperature for 20 min, Blocking buffer (normal goat serum) at 37°C for 20 min, Antibody incubation with (RAR Beta) polyclonal Antibody, Unconjugated (orb11327) 1:100, 90 minutes at 37°C, followed by a conjugated Goat Anti-Rabbit IgG antibody at 37°C for 90 minutes, DAPI (blue) was used to stain the cell nuclei.
Quick Database Links
UniProt Details
−Documents Download
Request a Document
Protocol Information
Hinteregger, Barbara et al. Transgene integration causes RARB downregulation in homozygous Tg4-42 mice Sci Rep, 10, 6377 (2020)
RARB Rabbit Polyclonal Antibody (orb11327)
Participating in our Biorbyt product reviews program enables you to support fellow scientists by sharing your firsthand experience with our products.
Login to Submit a Review










