You have no items in your shopping cart.
Rat IgG (H&L) Antibody Alkaline Phosphatase Conjugated
Description
Images & Validation
−| Tested Applications | DOT, ELISA, IHC, WB |
|---|---|
| Dilution Range | ELISA: 1:50,000 - 1:90,000, IHC: 1:200 - 1:1,000, WB: 1:500 - 1:2,500 |
| Reactivity | Rat |
| Application Notes |
Key Properties
−| Antibody Type | Secondary Antibody |
|---|---|
| Host | Goat |
| Clonality | Polyclonal |
| Isotype | IgG |
| Immunogen | Rat IgG whole molecule |
| Purity | This product was prepared from monospecific antiserum by immunoaffinity chromatography using Rat IgG coupled to agarose beads followed by solid phase adsorption(s) to remove any unwanted reactivities. Assay by immunoelectrophoresis resulted in a single precipitin arc against anti-Alkaline Phosphatase (calf intestine), anti-Goat Serum, Rat IgG and Rat Serum. |
| Conjugation | AP |
Storage & Handling
−| Storage | Store vial at 4° C before opening. DO NOT FREEZE. This product is stable at 4° C as an undiluted liquid. Dilute only prior to immediate use. Freezing alkaline phosphatase conjugates will result in a substantial loss of enzymatic activity. |
|---|---|
| Form/Appearance | Liquid (sterile filtered) |
| Buffer/Preservatives | Preservative: 0.1% (w/v) Sodium Azide. Stabilizer: 10 mg/mL Bovine Serum Albumin (rAlbumin) - Immunoglobulin and Protease free; Buffer: 0.05 M Tris Chloride, 0.15M Sodium Chloride, 0.001M Magnesium Chloride, 0.0001M Zinc Chloride, 50% (v/v) Glycerol; pH 8.0 |
| Concentration | 1.0 mg/mL |
| Expiration Date | 12 months from date of receipt. |
| Disclaimer | For research use only |
Alternative Names
−Similar Products
−Rat IgG (H&L) Antibody Alkaline Phosphatase Conjugated Pre-Adsorbed [orb347792]
DOT, ELISA, IHC, WB
Rat
Goat
Polyclonal
AP
1 mgRabbit IgG (H&L) Antibody Alkaline Phosphatase Conjugated Pre-Adsorbed [orb347733]
ELISA, IHC, WB
Rabbit
Rat
Polyclonal
AP
1 mgRat IgG (H&L) Antibody Alkaline Phosphatase Conjugated Pre-Adsorbed [orb347867]
DOT, ELISA, IHC, WB
Rat
Rabbit
Polyclonal
AP
500 μgRat IgG (H&L) Antibody Alkaline Phosphatase Conjugated [orb347882]
ELISA, IHC, WB
Rat
Sheep
Polyclonal
AP
1 mgRat IgG (H&L) Antibody Alkaline Phosphatase Conjugated [orb347893]
ELISA, IHC, WB
Rat
Donkey
Polyclonal
AP
1 mg

Quality Guarantee
Explore bioreagents carefree to elevate your research. All our products are rigorously tested for performance. If a product does not perform as described on its datasheet, our scientific support team will provide expert troubleshooting, a prompt replacement, or a refund. For full details, please see our Terms & Conditions and Buying Guide. Contact us at support@biorbyt.com.

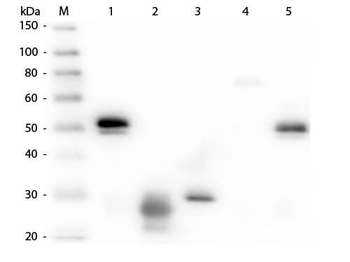
Western Blot of Alkaline Phosphatase Conjugated Goat anti-Rat IgG antibody. Lane 1: Rat IgG. Lane 2: none. Load: 50 ng per lane. Primary antibody: none. Secondary antibody: Alkaline Phosphatase rat secondary antibody at 1:1000 for 60 min at RT. Block: orb348637 for 30 min RT. Predicted/Observed size: 55 kDa, 28 kDa for Rat IgG. Other band(s): none.
Documents Download
Request a Document
Protocol Information
Rat IgG (H&L) Antibody Alkaline Phosphatase Conjugated (orb347814)
Participating in our Biorbyt product reviews program enables you to support fellow scientists by sharing your firsthand experience with our products.
Login to Submit a Review




