You have no items in your shopping cart.
SPN Antibody
Description
Research Area
Images & Validation
−| Tested Applications | IHC |
|---|---|
| Reactivity | Human |
Key Properties
−| Antibody Type | Recombinant Antibody |
|---|---|
| Host | Mouse |
| Clonality | Monoclonal |
| Isotype | IgG1 |
| Clone No. | rSPN/6563 |
| Immunogen | Recombinant full-length human SPN protein |
| Target | SPN |
| Source/Expression System | HEK293 cells |
| Molecular Weight | 115|95|or 135kDa |
| Conjugation | Unconjugated |
Storage & Handling
−| Storage | Maintain refrigerated at 2-8°C for up to 2 weeks. For long term storage store at -20°C in small aliquots to prevent freeze-thaw cycles. |
|---|---|
| Form/Appearance | 200ug/ml of Ab purified from Bioreactor Concentrate by Protein A/G. Prepared in 10mM PBS with 0.05% rAlbumin & 0.05% azide. Also available WITHOUT rAlbumin & azide at 1.0mg/ml. |
| Expiration Date | 12 months from date of receipt. |
| Disclaimer | For research use only |
Alternative Names
−Similar Products
−CD43/SPN Rabbit Polyclonal Antibody [orb196265]
FC, ICC, IF, IHC, IHC-Fr, WB
Human, Mouse, Rat
Rabbit
Polyclonal
Unconjugated
100 μgCD43/SPN Mouse Monoclonal Antibody [orb570327]
FC, IHC, WB
Human, Mouse, Rat
Mouse
Monoclonal
Unconjugated
100 μgSPN Antibody [orb1410237]
IHC, WB
Human
Rabbit
Monoclonal
Unconjugated
20 μg, 100 μg, 100 μg (without BSA and Azide)

Quality Guarantee
Explore bioreagents carefree to elevate your research. All our products are rigorously tested for performance. If a product does not perform as described on its datasheet, our scientific support team will provide expert troubleshooting, a prompt replacement, or a refund. For full details, please see our Terms & Conditions and Buying Guide. Contact us at support@biorbyt.com.

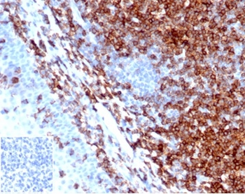
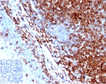
Formalin-fixed, paraffin-embedded human tonsil stained with CD43 Recombinant Mouse Monoclonal Antibody (rSPN/6563) at 2 ug/ml. Inset: PBS instead of primary antibody, secondary negative control.

IHC analysis of formalin-fixed, paraffin-embedded human colon. Strong membrane staining using rSPN/6563 at 2 ug/ml in PBS for 30 min RT. HIER: Tris/EDTA, pH9.0, 45 min. 2°C: HRP-polymer, 30 min. DAB, 5 min.

SDS-PAGE Analysis of Purified CD43 Recombinant Mouse Monoclonal Antibody (rSPN/6563). Confirmation of Integrity and Purity of Antibody.
Quick Database Links
UniProt Details
−Documents Download
Request a Document
SPN Antibody (orb1410236)
Participating in our Biorbyt product reviews program enables you to support fellow scientists by sharing your firsthand experience with our products.
Login to Submit a Review






















