You have no items in your shopping cart.
COL4A5 Antibody
Description
Research Area
Images & Validation
−| Tested Applications | IHC |
|---|---|
| Reactivity | Human |
Key Properties
−| Antibody Type | Recombinant Antibody |
|---|---|
| Host | Rabbit |
| Clonality | Monoclonal |
| Isotype | IgG |
| Clone No. | COL4A5/9396R |
| Immunogen | Recombinant fragment (around aa1400-1685) of human COL4A protein (exact sequence is proprietary) |
| Target | COL4A5 |
| Source/Expression System | HEK293 cells |
| Molecular Weight | 161kDa |
| Conjugation | Unconjugated |
Storage & Handling
−| Storage | Maintain refrigerated at 2-8°C for up to 2 weeks. For long term storage store at -20°C in small aliquots to prevent freeze-thaw cycles. |
|---|---|
| Form/Appearance | 200ug/ml of Ab produced in HEK293 cell mammalian-based expression system. Prepared in 10mM PBS with 0.05% rAlbumin & 0.05% azide. Also available WITHOUT rAlbumin & azide at 1.0mg/ml. |
| Expiration Date | 12 months from date of receipt. |
| Disclaimer | For research use only |
Alternative Names
−Similar Products
−Collagen IV antibody [orb340147]
ELISA, IHC-P, WB
Human, Mouse, Rat
Rabbit
Polyclonal
Unconjugated
100 μgCollagen IV antibody [orb313870]
ELISA, IHC-P, WB
Human, Mouse, Rat
Rabbit
Polyclonal
Unconjugated
100 μgHuman Collagen Type IV Alpha 5 (COL4a5) ELISA Kit [orb779446]
Human
3.13-200 ng/mL
1.08 ng/mL
48 T, 96 TCOL4A5 rabbit pAb Antibody [orb767615]
ELISA, IF, IHC, WB
Human, Mouse
Polyclonal
Unconjugated
50 μl, 100 μl

Quality Guarantee
Explore bioreagents carefree to elevate your research. All our products are rigorously tested for performance. If a product does not perform as described on its datasheet, our scientific support team will provide expert troubleshooting, a prompt replacement, or a refund. For full details, please see our Terms & Conditions and Buying Guide. Contact us at support@biorbyt.com.

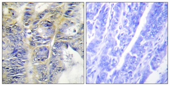
Formalin-fixed, paraffin-embedded human pancreas stained with COL4A5 Recombinant Rabbit Monoclonal Antibody (COL4A5/9396R). Inset: PBS instead of primary antibody; secondary only negative control.

SDS-PAGE Analysis of Purified COL4A5 Recombinant Rabbit Monoclonal (COL4A5/9396R). Confirmation of Purity and Integrity of Antibody.
Quick Database Links
UniProt Details
−Documents Download
Request a Document
COL4A5 Antibody (orb2309541)
Participating in our Biorbyt product reviews program enables you to support fellow scientists by sharing your firsthand experience with our products.
Login to Submit a Review




















