You have no items in your shopping cart.
Cytokeratin 14 Rabbit Monoclonal Antibody
Description
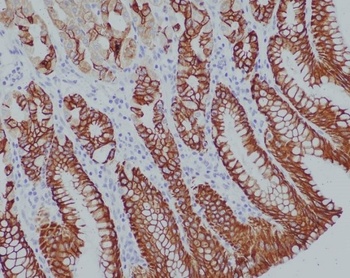
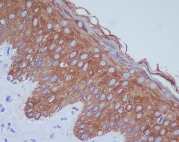
Images & Validation
−
| Tested Applications | IHC |
|---|---|
| Dilution Range | IH (1/400 - 1/2000) |
| Reactivity | Human |
Key Properties
−| Antibody Type | Primary Antibody |
|---|---|
| Host | Rabbit |
| Clonality | Monoclonal |
| Immunogen | Recombinant fusion protein of human Cytokeratin 14. The exact sequence is proprietary. |
| Target | KRT14 |
| Purification | The antibody was purified by immunogen affinity chromatography. |
| Conjugation | Unconjugated |
Storage & Handling
−| Storage | Maintain refrigerated at 2-8°C for up to 2 weeks. For long term storage store at -20°C in small aliquots to prevent freeze-thaw cycles. |
|---|---|
| Form/Appearance | Liquid |
| Buffer/Preservatives | PBS, pH 7.4, containing 50% glycerol, 0.05% rAlbumin and 0.01% sodium azide. |
| Expiration Date | 12 months from date of receipt. |
| Disclaimer | For research use only |
Alternative Names
−Similar Products
−Keratin 14 Recombinant Rabbit Monoclonal Antibody [orb1816717]
IF, IHC-Fr, IHC-P, WB
Mouse, Rat
Human, Mouse, Rat
Rabbit
Recombinant
Unconjugated
25 μl, 100 μl, 50 μlCytokeratin 14 Recombinant Rabbit Monoclonal Antibody [orb559081]
IF, IHC-Fr, IHC-P
Mouse, Rat
Human, Mouse, Rat
Rabbit
Recombinant
Unconjugated
100 μl, 50 μlKRT14 Antibody [orb1410107]
IHC, WB
Human
Rabbit
Monoclonal
Unconjugated
20 μg, 100 μg, 100 μg (without BSA and Azide)Cytokeratin 14 KRT14 Rabbit Monoclonal Antibody [orb547746]
ICC, IF, IHC, WB
Human, Mouse, Rat
Rabbit
Monoclonal
Unconjugated
100 μlCytokeratin 14 KRT14 Rabbit Monoclonal Antibody [orb547745]
FC, ICC, IF, IHC, IP, WB
Human
Rabbit
Monoclonal
Unconjugated
100 μl

Quality Guarantee
Explore bioreagents carefree to elevate your research. All our products are rigorously tested for performance. If a product does not perform as described on its datasheet, our scientific support team will provide expert troubleshooting, a prompt replacement, or a refund. For full details, please see our Terms & Conditions and Buying Guide. Contact us at support@biorbyt.com.
Documents Download
Request a Document
Cytokeratin 14 Rabbit Monoclonal Antibody (orb2989730)
Participating in our Biorbyt product reviews program enables you to support fellow scientists by sharing your firsthand experience with our products.
Login to Submit a Review



















