You have no items in your shopping cart.
FSCN1 Antibody
Description
Research Area
Images & Validation
−| Tested Applications | IHC |
|---|---|
| Reactivity | Human |
Key Properties
−| Antibody Type | Recombinant Antibody |
|---|---|
| Host | Mouse |
| Clonality | Monoclonal |
| Isotype | IgG2a |
| Clone No. | rFSCN1/6464 |
| Immunogen | Full length recombinant human FSCN1 protein |
| Target | FSCN1 |
| Source/Expression System | CHO cells |
| Molecular Weight | 55kDa |
| Conjugation | Unconjugated |
Storage & Handling
−| Storage | Maintain refrigerated at 2-8°C for up to 2 weeks. For long term storage store at -20°C in small aliquots to prevent freeze-thaw cycles. |
|---|---|
| Form/Appearance | 200ug/ml of Ab purified from Bioreactor Concentrate by Protein A/G. Prepared in 10mM PBS with0.05% rAlbumin & 0.05% azide. Also available WITHOUT rAlbumin & azide at 1.0mg/ml. |
| Expiration Date | 12 months from date of receipt. |
| Disclaimer | For research use only |
Alternative Names
−Similar Products
−Phospho-FSCN1 (Ser39) Rabbit Polyclonal Antibody [orb11266]
WB
Canine, Porcine
Human, Mouse, Rat
Rabbit
Polyclonal
Unconjugated
50 μl, 100 μl, 200 μlFascin 1 rabbit pAb Antibody [orb766817]
ELISA, IF, IHC, WB
Human, Mouse, Rat
Polyclonal
Unconjugated
100 μlFSCN1 Antibody [orb388662]
FC, IF, IHC, WB
Human
Mouse
Monoclonal
Unconjugated
20 μg, 100 μg, 100 μg (without BSA and Azide)FSCN1 Antibody [orb1410451]
IHC
Human
Mouse
Monoclonal
Unconjugated
20 μg, 100 μg, 100 μg (without BSA and Azide)

Quality Guarantee
Explore bioreagents carefree to elevate your research. All our products are rigorously tested for performance. If a product does not perform as described on its datasheet, our scientific support team will provide expert troubleshooting, a prompt replacement, or a refund. For full details, please see our Terms & Conditions and Buying Guide. Contact us at support@biorbyt.com.

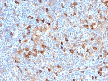
IHC analysis of formalin-fixed, paraffin-embedded human kidney. Cytoplasmic staining using rFSCN1/6464 at 2 ug/ml in PBS for 30 min RT. HIER: Tris/EDTA, pH9.0, 45 min. 2°C: HRP-polymer, 30 min. DAB, 5 min.

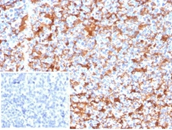
IHC analysis of formalin-fixed, paraffin-embedded human pancreas. Cytoplasmic staining using rFSCN1/6464 at 2 ug/ml in PBS for 30 min RT. Inset: PBS instead of primary antibody; secondary only negative control.

SDS-PAGE Analysis of Purified Fascin-1 Recombinant Mouse Monoclonal Antibody (rFSCN1/6464). Confirmation of Integrity and Purity of Antibody.
Quick Database Links
UniProt Details
−Documents Download
Request a Document
FSCN1 Antibody (orb1410191)
Participating in our Biorbyt product reviews program enables you to support fellow scientists by sharing your firsthand experience with our products.
Login to Submit a Review















