You have no items in your shopping cart.
Human BTLA
Description
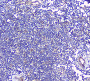
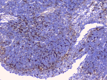
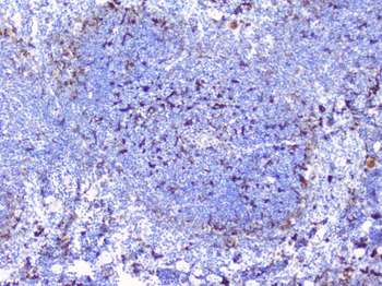
Images & Validation
−
Key Properties
−| Expression System | Human Cells |
|---|---|
| Biological Origin | Human |
| Tag | C-mFc |
| Molecular Weight | Predicted: 40.4 KDa. Observed: 50-70 KDa, reducing conditions |
| Expression Region | Lys31-Leu150 |
| Purity | SDS-PAGE: Greater than 95% as determined by reducing SDS-PAGE. |
| Endotoxins | < 1 EU/µg as determined by LAL test. |
| Conjugation | Unconjugated |
Storage & Handling
−| Storage | Lyophilized protein should be stored at ≤ -20°C, stable for one year after receipt. Reconstituted protein solution can be stored at 2-8°C for 2-7 days. Aliquots of reconstituted samples are stable at ≤ -20°C for 3 months. |
|---|---|
| Form/Appearance | Lyophilized from a 0.2 μm filtered solution of PBS, pH 7.4. |
| Reconstitution | Always centrifuge tubes before opening.Do not mix by vortex or pipetting. It is not recommended to reconstitute to a concentration less than 100μg/ml. Dissolve the lyophilized protein in distilled water. Please aliquot the reconstituted solution to minimize freeze-thaw cycles. |
| Expiration Date | 6 months from date of receipt. |
| Disclaimer | For research use only |
Alternative Names
−Similar Products
−Human B- and T-lymphocyte attenuator (BTLA) ELISA Kit [orb782463]
Human
0.47-30 ng/mL
0.22 ng/mL
48 T, 96 TCD272/BTLA Rabbit Polyclonal Antibody [orb526985]
FC, ICC, IHC, IHC-Fr, WB
Human, Mouse
Rabbit
Polyclonal
Unconjugated
100 μgHuman BTLA [orb2994015]
Unconjugated
SDS-PAGE: Greater than 90% as determined by reducing SDS-PAGE.
Predicted: 40.9 KDa. Observed: 55 KDa, reducing conditions
10 μg, 50 μg, 500 μg, 1 mgHuman BTLA [orb2994992]
Unconjugated
SDS-PAGE: Greater than 95% as determined by reducing SDS-PAGE.
Predicted: 14.79 KDa. Observed: 30 KDa, reducing conditions
10 μg, 50 μg, 500 μg, 1 mgHuman BTLA Protein, mFc-His Tag [orb689405]
Unconjugated
The purity of the protein is greater than 95% as determined by SDS-PAGE and Coomassie blue staining.
The protein has a predicted molecular mass of 41.3 kDa after removal of the signal peptide.
Mammalian
10 μg, 100 μg, 50 μg

Quality Guarantee
Explore bioreagents carefree to elevate your research. All our products are rigorously tested for performance. If a product does not perform as described on its datasheet, our scientific support team will provide expert troubleshooting, a prompt replacement, or a refund. For full details, please see our Terms & Conditions and Buying Guide. Contact us at support@biorbyt.com.
Quick Database Links
UniProt Details
−Documents Download
Request a Document
Protocol Information
Human BTLA (orb2993930)
Participating in our Biorbyt product reviews program enables you to support fellow scientists by sharing your firsthand experience with our products.
Login to Submit a Review








