You have no items in your shopping cart.
Human STAT6
SKU: orb2994611
Description
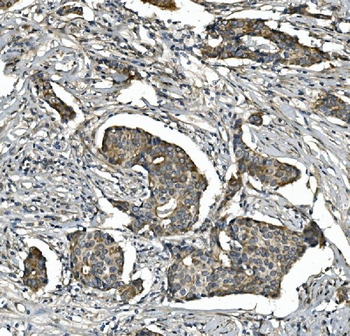
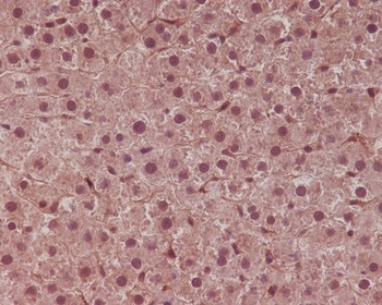
Images & Validation
−
Key Properties
−| Expression System | E.coli |
|---|---|
| Biological Origin | Human |
| Tag | C-6His |
| Molecular Weight | Predicted: 23.9 KDa. Observed: 30 KDa, reducing conditions |
| Expression Region | Ser627-Ser837 |
| Purity | SDS-PAGE: Greater than 85% as determined by reducing SDS-PAGE. |
| Endotoxins | < 1 EU/µg as determined by LAL test. |
| Conjugation | Unconjugated |
Storage & Handling
−| Storage | Lyophilized protein should be stored at ≤ -20°C, stable for one year after receipt. Reconstituted protein solution can be stored at 2-8°C for 2-7 days. Aliquots of reconstituted samples are stable at ≤ -20°C for 3 months. |
|---|---|
| Form/Appearance | Lyophilized from a 0.2 μm filtered solution of PBS, pH 7.4. |
| Reconstitution | Always centrifuge tubes before opening.Do not mix by vortex or pipetting. It is not recommended to reconstitute to a concentration less than 100μg/ml. Dissolve the lyophilized protein in distilled water. Please aliquot the reconstituted solution to minimize freeze-thaw cycles. |
| Disclaimer | For research use only |
Alternative Names
−Signal Transducer and Activator of Transcription 6; IL-4 Stat; STAT6
Similar Products
−Human Signal Transducer and Activator of Transcription 6 (STAT6) ELISA Kit [orb775844]
Human
0.32-20 ng/mL
0.124 ng/mL
96 T, 48 THuman Signal Transducer and Activator of Transcription 6 (STAT6) ELISA Kit [orb1948340]
Human
15.63-1000pg/mL
9.38 pg/mL
96 T, 48 TSTAT6 Rabbit Monoclonal Antibody [orb547353]
ICC, IF, IHC, IP, WB
Human, Mouse
Rabbit
Monoclonal
Unconjugated
100 μl

Quality Guarantee
Explore bioreagents carefree to elevate your research. All our products are rigorously tested for performance. If a product does not perform as described on its datasheet, our scientific support team will provide expert troubleshooting, a prompt replacement, or a refund. For full details, please see our Terms & Conditions and Buying Guide. Contact us at support@biorbyt.com.
Quick Database Links
UniProt
UniProt Details
− No UniProt data available
Documents Download
Datasheet
Product Information
Request a Document
Protocol Information
Human STAT6 (orb2994611)
Based on 0 reviews
Participating in our Biorbyt product reviews program enables you to support fellow scientists by sharing your firsthand experience with our products.
Login to Submit a Review








