You have no items in your shopping cart.
Description
Research Area
Images & Validation
−| Tested Applications | IHC |
|---|---|
| Reactivity | Human |
Key Properties
−| Antibody Type | Recombinant Antibody |
|---|---|
| Host | Rabbit |
| Clonality | Monoclonal |
| Isotype | IgG |
| Clone No. | NeuN/7071R |
| Immunogen | Synthetic peptide corresponding to residues within aa 30-60 of human NeuN protein (exact sequence is proprietary) |
| Target | RBFOX3 |
| Source/Expression System | HEK293 cells |
| Molecular Weight | 38kDa |
| Conjugation | Unconjugated |
Storage & Handling
−| Storage | Maintain refrigerated at 2-8°C for up to 2 weeks. For long term storage store at -20°C in small aliquots to prevent freeze-thaw cycles. |
|---|---|
| Form/Appearance | 200ug/ml of Ab purified from Bioreactor Concentrate by Protein A/G. Prepared in 10mM PBS with0.05% rAlbumin & 0.05% azide. Also available WITHOUT rAlbumin & azide at 1.0mg/ml. |
| Expiration Date | 12 months from date of receipt. |
| Disclaimer | For research use only |
Alternative Names
−Similar Products
−NeuN Rabbit Polyclonal Antibody [orb500816]
IF, IHC-Fr, IHC-P, WB
Bovine, Canine, Equine, Human
Mouse, Rat
Rabbit
Polyclonal
Unconjugated
100 μl, 50 μl, 200 μlNeuN Rabbit Polyclonal Antibody [orb183495]
FC, ICC, IF, IHC-Fr, IHC-P
Bovine, Equine, Insect, Mouse, Sheep
Human, Rat
Rabbit
Polyclonal
Unconjugated
50 μl, 100 μl, 200 μlRBFOX3 Antibody [orb1410411]
IHC, WB
Human, Mouse
Rabbit
Monoclonal
Unconjugated
20 μg, 100 μg, 100 μg (without BSA and Azide)RBFOX3 Antibody [orb1410163]
IHC
Human
Rabbit
Monoclonal
Unconjugated
20 μg, 100 μg, 100 μg (without BSA and Azide)

Quality Guarantee
Explore bioreagents carefree to elevate your research. All our products are rigorously tested for performance. If a product does not perform as described on its datasheet, our scientific support team will provide expert troubleshooting, a prompt replacement, or a refund. For full details, please see our Terms & Conditions and Buying Guide. Contact us at support@biorbyt.com.

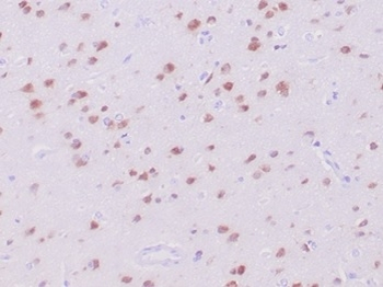
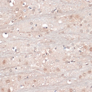
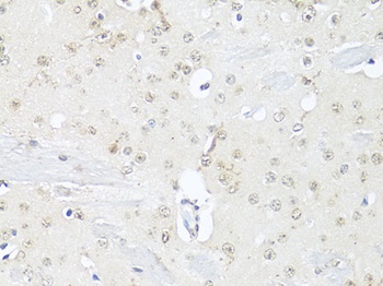
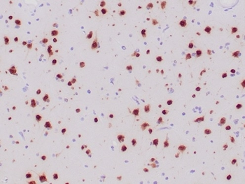
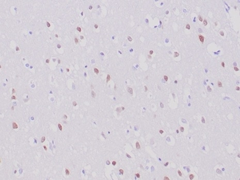
Formalin-fixed, paraffin-embedded humancerebellumstained with NeuN Recombinant Rabbit Monoclonal Antibody (NeuN/7071R).

SDS-PAGE Analysis of Purified NeuN Recombinant Rabbit Monoclonal Antibody (NeuN/7071R). Confirmation of Purity and Integrity of Antibody.
Quick Database Links
UniProt Details
−Documents Download
Request a Document
RBFOX3 Antibody (orb1410162)
Participating in our Biorbyt product reviews program enables you to support fellow scientists by sharing your firsthand experience with our products.
Login to Submit a Review























