You have no items in your shopping cart.
POU2F2 Antibody
Description
Research Area
Images & Validation
−| Tested Applications | IHC |
|---|---|
| Reactivity | Human |
Key Properties
−| Antibody Type | Recombinant Antibody |
|---|---|
| Host | Rabbit |
| Clonality | Monoclonal |
| Isotype | IgG |
| Clone No. | OCT2/7073R |
| Immunogen | Recombinant fragment of human OCT2 protein (around aa 112-297) (exact sequence is proprietary) |
| Target | POU2F2 |
| Source/Expression System | CHO cells |
| Molecular Weight | 60kDa |
| Conjugation | Unconjugated |
Storage & Handling
−| Storage | Maintain refrigerated at 2-8°C for up to 2 weeks. For long term storage store at -20°C in small aliquots to prevent freeze-thaw cycles. |
|---|---|
| Form/Appearance | 200ug/ml of Ab purified from Bioreactor Concentrate by Protein A/G. Prepared in 10mM PBS with 0.05% rAlbumin & 0.05% azide. Also available WITHOUT rAlbumin & azide at 1.0mg/ml. |
| Expiration Date | 12 months from date of receipt. |
| Disclaimer | For research use only |
Alternative Names
−Similar Products
−OCT2 Rabbit Polyclonal Antibody [orb6558]
FC, IF, IHC-Fr, IHC-P, WB
Bovine, Canine, Equine, Porcine, Rabbit
Human, Mouse, Rat
Rabbit
Polyclonal
Unconjugated
50 μl, 100 μl, 200 μlOct-2 rabbit pAb Antibody [orb765876]
ELISA, IF, IHC, WB
Human, Monkey, Mouse
Polyclonal
Unconjugated
100 μl, 50 μlPOU2F2 Antibody (N-term) [orb1936357]
IHC-P, WB
Mouse, Porcine
Human
Rabbit
Polyclonal
Unconjugated
100 μl, 50 μl

Quality Guarantee
Explore bioreagents carefree to elevate your research. All our products are rigorously tested for performance. If a product does not perform as described on its datasheet, our scientific support team will provide expert troubleshooting, a prompt replacement, or a refund. For full details, please see our Terms & Conditions and Buying Guide. Contact us at support@biorbyt.com.

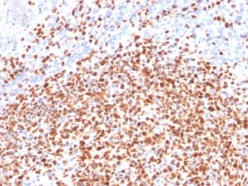
Formalin-fixed, paraffin-embedded human tonsil stained with Oct-2 Recombinant Mouse Monoclonal Antibody (rOCT2/7196). HIER: Tris/EDTA, pH9.0, 45 min. 2°C: HRP-polymer, 30 min. DAB, 5 min.

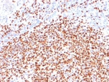
Formalin-fixed, paraffin-embedded human tonsil stained with Oct-2 Recombinant Mouse Monoclonal Antibody (rOCT2/7196). Inset: PBS instead of primary antibody; secondary only negative control.
Quick Database Links
UniProt Details
−Documents Download
Request a Document
POU2F2 Antibody (orb1410476)
Participating in our Biorbyt product reviews program enables you to support fellow scientists by sharing your firsthand experience with our products.
Login to Submit a Review
























