You have no items in your shopping cart.
SMTN Antibody
Description
Research Area
Images & Validation
−| Tested Applications | IHC |
|---|---|
| Reactivity | Human |
Key Properties
−| Antibody Type | Recombinant Antibody |
|---|---|
| Host | Rabbit |
| Clonality | Monoclonal |
| Isotype | IgG |
| Clone No. | SMTN/2320R |
| Immunogen | Recombinant full-length human Smoothelin (SMTN) protein |
| Target | SMTN |
| Source/Expression System | HEK293 cells |
| Molecular Weight | 59/110kDa (short/long isoforms|respectively) |
| Conjugation | Unconjugated |
Storage & Handling
−| Storage | Maintain refrigerated at 2-8°C for up to 2 weeks. For long term storage store at -20°C in small aliquots to prevent freeze-thaw cycles. |
|---|---|
| Form/Appearance | 200ug/ml of Ab purified from Bioreactor Concentrate by Protein A/G. Prepared in 10mM PBS with 0.05% rAlbumin & 0.05% azide. Also available WITHOUT rAlbumin & azide at 1.0mg/ml. |
| Expiration Date | 12 months from date of receipt. |
| Disclaimer | For research use only |
Alternative Names
−Similar Products
−Smoothelin Rabbit Polyclonal Antibody [orb158429]
IF, IHC-Fr, IHC-P, WB
Bovine, Canine, Mouse, Porcine, Primate, Rabbit
Human, Rat
Rabbit
Polyclonal
Unconjugated
50 μl, 100 μl, 200 μlSMTN Rabbit Polyclonal Antibody [orb1939904]
ELISA, ICC, IF, IHC, WB
Human, Mouse, Rat
Rabbit
Polyclonal
Unconjugated
100 μg

Quality Guarantee
Explore bioreagents carefree to elevate your research. All our products are rigorously tested for performance. If a product does not perform as described on its datasheet, our scientific support team will provide expert troubleshooting, a prompt replacement, or a refund. For full details, please see our Terms & Conditions and Buying Guide. Contact us at support@biorbyt.com.

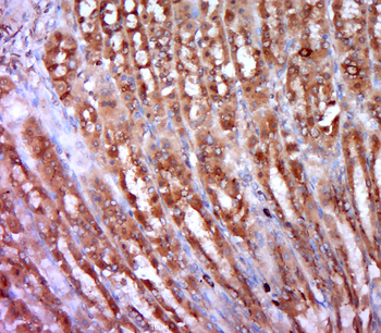
Formalin-fixed, paraffin-embedded human colon stained with Smoothelin Rabbit Recombinant Monoclonal Antibody (SMTN/2320R).

Formalin-fixed, paraffin-embedded human colon stained with Smoothelin Rabbit Recombinant Monoclonal Antibody (SMTN/2320R).

SDS-PAGE Analysis of Purified Smoothelin Rabbit Recombinant Monoclonal Ab (SMTN/2320R). Confirmation of Purity and Integrity of Antibody.
Quick Database Links
UniProt Details
−Documents Download
Request a Document
SMTN Antibody (orb1410452)
Participating in our Biorbyt product reviews program enables you to support fellow scientists by sharing your firsthand experience with our products.
Login to Submit a Review





