You have no items in your shopping cart.
Recombinant Retinoblastoma Antibody
Description
Images & Validation
−| Tested Applications | IHC-P |
|---|---|
| Dilution Range | Immunohistochemistry (FFPE): 1-2ug/ml for 30 minutes at RT |
| Reactivity | Human |
| Application Notes |
Key Properties
−| Antibody Type | Primary Antibody |
|---|---|
| Host | Rabbit |
| Clonality | Recombinant |
| Isotype | Rabbit IgG, kappa |
| Clone No. | RB1/7080R |
| Immunogen | Recombinant human full-length protein was used as the immunogen for the recombinant Retinoblastoma antibody. |
| Purification | Protein A/G affinity |
| Conjugation | Unconjugated |
Storage & Handling
−| Storage | Maintain refrigerated at 2-8°C for up to 2 weeks. For long term storage store at -20°C in small aliquots to prevent freeze-thaw cycles. |
|---|---|
| Buffer/Preservatives | 0.2 mg/ml in 1X PBS with 0.1 mg/ml rAlbumin, 0.05% sodium azide |
| Expiration Date | 12 months from date of receipt. |
| Disclaimer | For research use only |
Similar Products
−E2F1 Antibody [orb689016]
ELISA, FC, IF, IHC, WB
Human, Rat
Rabbit
Monoclonal
Unconjugated
50 μl, 100 μlRBBP4 Antibody [orb689193]
ELISA, IF, IHC, WB
Human, Mouse, Rat
Rabbit
Monoclonal
Unconjugated
50 μl, 100 μl

Quality Guarantee
Explore bioreagents carefree to elevate your research. All our products are rigorously tested for performance. If a product does not perform as described on its datasheet, our scientific support team will provide expert troubleshooting, a prompt replacement, or a refund. For full details, please see our Terms & Conditions and Buying Guide. Contact us at support@biorbyt.com.

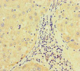
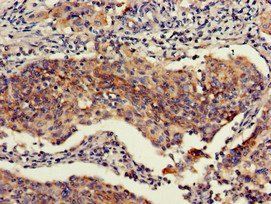
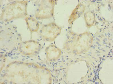
IHC staining of FFPE human bladder carcinoma with recombinant Retinoblastoma antibody (clone RB1/7080R). HIER: boil tissue sections in pH9 10 mM Tris with 1 mM EDTA for 20 min and allow to cool before testing.

SDS-PAGE analysis of purified, BSA-free recombinant Retinoblastoma antibody (clone RB1/7080R) as confirmation of integrity and purity.
Quick Database Links
UniProt Details
−Documents Download
Request a Document
Recombinant Retinoblastoma Antibody (orb1825602)
Participating in our Biorbyt product reviews program enables you to support fellow scientists by sharing your firsthand experience with our products.
Login to Submit a Review


















