You have no items in your shopping cart.
RIDA Antibody
Description
Research Area
Images & Validation
−| Tested Applications | ELISA, IHC, WB |
|---|---|
| Dilution range | WB: 1:500-1:2000; IHC: 1:20-1:200 |
| Reactivity | Human, Rat |
Key Properties
−| Antibody Type | Primary Antibody |
|---|---|
| Host | Rabbit |
| Clonality | Polyclonal |
| Isotype | IgG |
| Immunogen | heat-responsive protein 12 |
| Target | RIDA |
| Molecular Weight | 14.5kd |
| Purity | ≥95% as determined by SDS-PAGE |
| Purification | Immunogen affinity purified |
| Conjugation | Unconjugated |
Storage & Handling
−| Storage | Maintain refrigerated at 2-8°C for up to 2 weeks. For long term storage store at -20°C in small aliquots to prevent freeze-thaw cycles. |
|---|---|
| Form/Appearance | liquid |
| Disclaimer | For research use only |
Alternative Names
−Similar Products
−HRSP12 Rabbit Polyclonal Antibody [orb77870]
ELISA, IHC, WB
Mouse, Rat
Human
Rabbit
Polyclonal
Unconjugated
100 μgRIDA Rabbit Polyclonal Antibody [orb581580]
WB
Bovine, Canine, Equine, Goat, Rabbit
Human
Rabbit
Polyclonal
Unconjugated
100 μlRIDA Rabbit Polyclonal Antibody [orb325719]
WB
Bovine, Canine, Equine, Goat, Guinea pig, Rabbit, Rat, Zebrafish
Human
Rabbit
Polyclonal
Unconjugated
100 μl

Quality Guarantee
Explore bioreagents carefree to elevate your research. All our products are rigorously tested for performance. If a product does not perform as described on its datasheet, our scientific support team will provide expert troubleshooting, a prompt replacement, or a refund. For full details, please see our Terms & Conditions and Buying Guide. Contact us at support@biorbyt.com.

human liver tissue were subjected to SDS PAGE followed by western blot with orb627815 (UK114; HRSP12 antibody) at dilution of 1:300.

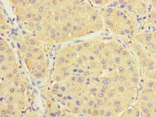
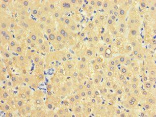
Immunohistochemistry of paraffin-embedded human liver cancer using orb627815 (UK114 HRSP12 antibody) at dilution of 1:100.
Quick Database Links
UniProt Details
−Documents Download
Request a Document
Protocol Information
RIDA Antibody (orb627815)
Participating in our Biorbyt product reviews program enables you to support fellow scientists by sharing your firsthand experience with our products.
Login to Submit a Review







