You have no items in your shopping cart.
RPA1 Antibody
Description
Images & Validation
−| Tested Applications | FC, ICC, IHC, WB |
|---|---|
| Dilution Range | WB: 1/500 - 1/2000; IHC: 1/200 - 1/1000; IF/ICC: 1/200 - 1/1000; FCM: 1/200 - 1/400; ELISA: 1/10000 |
| Reactivity | Human, Monkey |
Key Properties
−| Antibody Type | Primary Antibody |
|---|---|
| Host | Mouse |
| Clonality | Monoclonal |
| Isotype | Mouse IgG1 |
| Clone No. | 4C4D9 |
| Immunogen | Purified recombinant fragment of human RPA1 expressed in E. Coli. |
| Target | Disease |
| Molecular Weight | 68.1kDa |
| Conjugation | Unconjugated |
Storage & Handling
−| Storage | Maintain refrigerated at 2-8°C for up to 2 weeks. For long term storage store at -20°C in small aliquots to prevent freeze-thaw cycles. |
|---|---|
| Buffer/Preservatives | Purified antibody in PBS with 0.05% sodium azide |
| Concentration | Approximately 1mg/ml (varies from batch to batch). Please inquire for precise concentration. |
| Expiration Date | 12 months from date of receipt. |
| Disclaimer | For research use only |
Alternative Names
−Similar Products
−RPA70 RPA1 Mouse Monoclonal Antibody [orb507562]
FC, IF, IHC, WB
Human, Monkey, Mouse
Mouse
Monoclonal
Unconjugated
100 μgRPA1 Rabbit Polyclonal Antibody [orb583203]
WB
Bovine, Canine, Equine, Guinea pig, Mouse, Rabbit, Rat, Sheep
Human
Rabbit
Polyclonal
Unconjugated
100 μl

Quality Guarantee
Explore bioreagents carefree to elevate your research. All our products are rigorously tested for performance. If a product does not perform as described on its datasheet, our scientific support team will provide expert troubleshooting, a prompt replacement, or a refund. For full details, please see our Terms & Conditions and Buying Guide. Contact us at support@biorbyt.com.

Confocal immunofluorescence analysis of HeLa cells using RPA1 antibody

Western blot analysis of HeLa (Lane1), MCF-7 (Lane2), K562 (Lane3), A431 (Lane4), and COS-7 (Lane6) cell lysate using RPA1 antibody

Flow cytometric analysis of Jurkat cells using RPA1 antibody

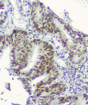
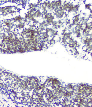
Immunohistochemical analysis of formalin fixed and paraffin-embedded colon cancer tissues using RPA1 antibody

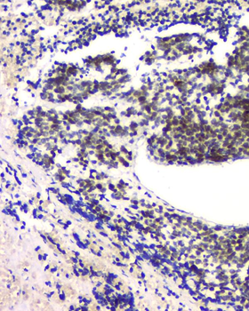
IHC-P of prostate tissues using RPA1 antibody

Western blot analysis of human (AA: 308-513) recombinant protein using RPA1 antibody

Line graph illustrates about the Ag-Ab reactions using different concentrations of antigen and serial dilutions of RPA1 antibody
Documents Download
Request a Document
Protocol Information
RPA1 Antibody (orb97453)
Participating in our Biorbyt product reviews program enables you to support fellow scientists by sharing your firsthand experience with our products.
Login to Submit a Review












