You have no items in your shopping cart.
RPL30 Antibody
Description
Research Area
Images & Validation
−| Tested Applications | ELISA, IHC, WB |
|---|---|
| Dilution Range | WB:1:500-1:5000, IHC-P:1:20-1:200 |
| Reactivity | Human |
Key Properties
−| Host | Rabbit |
|---|---|
| Clonality | Polyclonal |
| Isotype | IgG |
| Immunogen | Recombinant Human 60S ribosomal protein L30 protein (1-115AA) |
| Target | RPL30 |
| Purification | >95%, Protein G purified |
| Conjugation | Unconjugated |
Storage & Handling
−| Storage | Maintain refrigerated at 2-8°C for up to 2 weeks. For long term storage store at -20°C in small aliquots to prevent freeze-thaw cycles. |
|---|---|
| Form/Appearance | Liquid |
| Buffer/Preservatives | Preservative: 0.03% Proclin 300. Constituents: 50% Glycerol |
| Expiration Date | 12 months from date of receipt. |
| Disclaimer | For research use only |
Alternative Names
−Similar Products
−Ribosomal Protein L30 rabbit pAb Antibody [orb766239]
ELISA, IF, IHC, WB
Human, Monkey, Mouse, Rat
Polyclonal
Unconjugated
100 μl, 50 μlRPL30 Antibody(N-term) [orb1932052]
WB
Bovine, Gallus, Monkey, Rat
Human, Mouse
Rabbit
Polyclonal
Unconjugated
100 μl, 50 μlRPL30 Rabbit Polyclonal Antibody [orb214527]
IHC, WB
Bovine, Gallus, Human, Monkey, Mouse, Rat
Rabbit
Polyclonal
Unconjugated
30 μl, 100 μl, 200 μl, 50 μlRPL30 Antibody [orb128659]
IHC, WB
Human, Mouse, Rat
Rabbit
Polyclonal
Unconjugated
50 μg, 25 μg, 100 μg, 200 μg

Quality Guarantee
Explore bioreagents carefree to elevate your research. All our products are rigorously tested for performance. If a product does not perform as described on its datasheet, our scientific support team will provide expert troubleshooting, a prompt replacement, or a refund. For full details, please see our Terms & Conditions and Buying Guide. Contact us at support@biorbyt.com.

Western blot analysis of A549 whole cell lysateusing 60S ribosomal protein L30 antibody

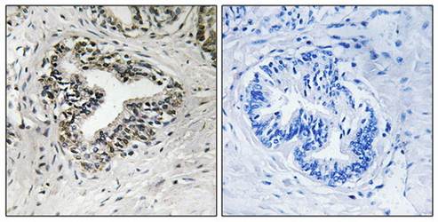
Immunohistochemical staining of human pancreic tissue using 60S ribosomal protein L30 antibody
Quick Database Links
UniProt Details
−Documents Download
Request a Document
Protocol Information
RPL30 Antibody (orb239123)
Participating in our Biorbyt product reviews program enables you to support fellow scientists by sharing your firsthand experience with our products.
Login to Submit a Review










