You have no items in your shopping cart.
RPS14 Rabbit Polyclonal Antibody
Description
Research Area
Images & Validation
−| Tested Applications | WB |
|---|---|
| Reactivity | Human |
| Predicted Reactivity | Canine, Equine, Guinea pig, Mouse, Rabbit, Rat, Yeast, Zebrafish |
Key Properties
−| Host | Rabbit |
|---|---|
| Clonality | Polyclonal |
| Immunogen | The immunogen is a synthetic peptide directed towards the middle region of human RPS14 |
| Target | RPS14 |
| Protein Sequence | Synthetic peptide located within the following region: GNRTKTPGPGAQSALRALARSGMKIGRIEDVTPIPSDSTRRKGGRRGRRL |
| Molecular Weight | 17kDa |
| Purification | Protein A purified |
| Conjugation | Unconjugated |
Storage & Handling
−| Storage | Maintain refrigerated at 2-8°C for up to 2 weeks. For long term storage store at -20°C in small aliquots to prevent freeze-thaw cycles. |
|---|---|
| Buffer/Preservatives | Liquid. Purified antibody supplied in 1x PBS buffer with 0.09% (w/v) sodium azide and 2% sucrose. |
| Concentration | 1.0 mg/ml |
| Expiration Date | 12 months from date of receipt. |
| Disclaimer | For research use only |
Alternative Names
−Similar Products
−RPS14 Rabbit Polyclonal Antibody [orb1676253]
ELISA, FC, ICC, IF, IHC, IP, WB
Human, Mouse, Rat
Rabbit
Polyclonal
Unconjugated
100 μgRPS14 Rabbit Polyclonal Antibody [orb1676308]
ELISA, FC, IHC, WB
Human, Mouse, Rat
Rabbit
Polyclonal
Unconjugated
100 μgRPS14 Rabbit Polyclonal Antibody [orb341160]
IF, IHC, WB
Human, Mouse, Rat
Rabbit
Polyclonal
Unconjugated
50 μl, 100 μl, 200 μl, 30 μlRPS14 Rabbit Polyclonal Antibody [orb630832]
ELISA, IF, IHC, WB
Human, Mouse, Rat
Rabbit
Polyclonal
Unconjugated
50 μg, 100 μgRPS14 Rabbit Polyclonal Antibody [orb577533]
WB
Bovine, Canine, Equine, Guinea pig, Mouse, Rabbit, Rat, Zebrafish
Human
Rabbit
Polyclonal
Unconjugated
100 μl

Quality Guarantee
Explore bioreagents carefree to elevate your research. All our products are rigorously tested for performance. If a product does not perform as described on its datasheet, our scientific support team will provide expert troubleshooting, a prompt replacement, or a refund. For full details, please see our Terms & Conditions and Buying Guide. Contact us at support@biorbyt.com.

Sample Type: 721_B, Antibody Dilution: 1.0 ug/ml. RPS14 is strongly supported by BioGPS gene expression data to be expressed in Human 721_B cells.

Sample Type: Hela, Antibody Dilution: 1.0 ug/ml. RPS14 is supported by BioGPS gene expression data to be expressed in HeLa.

Sample Type: Human Fetal Brain, Antibody Dilution: 1.0 ug/ml.

Sample Type: Human Fetal Liver, Antibody Dilution: 1.0 ug/ml.

Sample Type: Human Fetal Lung, Antibody Dilution: 1.0 ug/ml.

Sample Type: Jurkat, Antibody Dilution: 1.0 ug/ml. RPS14 is supported by BioGPS gene expression data to be expressed in Jurkat.

Sample Type: MCF7, Antibody Dilution: 1.0 ug/ml. RPS14 is supported by BioGPS gene expression data to be expressed in MCF7.

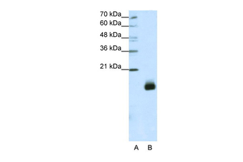
WB Suggested Anti-RPS14 Antibody Titration: 2.5 ug/ml, ELISA Titer: 1:12500, Positive Control: HepG2 cell lysate.
Quick Database Links
UniProt Details
−NCBI Reference Sequences
−| Protein | NP_001020242 |
|---|
Documents Download
Request a Document
RPS14 Rabbit Polyclonal Antibody (orb577534)
Participating in our Biorbyt product reviews program enables you to support fellow scientists by sharing your firsthand experience with our products.
Login to Submit a Review















