You have no items in your shopping cart.
RPS6 Antibody (N-term)
Description
Research Area
Images & Validation
−| Tested Applications | FC, IF, IHC-P, WB |
|---|---|
| Dilution Range | FC - 1:25, IF - 1:25, IHC-P - 1:100-500, WB - 1:2000 |
| Reactivity | Human, Mouse, Rat |
| Predicted Reactivity | Mouse, Rabbit |
Key Properties
−| Host | Mouse |
|---|---|
| Clonality | Monoclonal |
| Isotype | IgG1 |
| Molecular Weight | 28681 Da |
| Conjugation | Unconjugated |
Storage & Handling
−| Storage | Maintain refrigerated at 2-8°C for up to 2 weeks. For long term storage store at -20°C in small aliquots to prevent freeze-thaw cycles |
|---|---|
| Form/Appearance | Purified monoclonal antibody supplied in PBS with 0.09% (W/V) sodium azide. This antibody is purified through a protein G column, followed by dialysis against PBS. |
| Expiration Date | 12 months from date of receipt. |
| Disclaimer | For research use only |
Similar Products
−RPS6 (N-term) Mouse Monoclonal Antibody [orb559232]
IF, IHC-Fr, IHC-P, WB
Mouse, Rat
Human, Mouse, Rat
Mouse
Monoclonal
Unconjugated
50 μl, 100 μlRPS6 Antibody (N-term) [orb1931857]
WB
Bovine, Monkey, Mouse, Rat
Human
Rabbit
Polyclonal
Unconjugated
100 μl, 50 μlRPS6 Antibody (N-term) [orb1932112]
WB
Bovine, Monkey, Mouse, Rat
Human
Rabbit
Polyclonal
Unconjugated
100 μl, 50 μlRPS6 Antibody (N-term) [orb2996013]
FC, IF, IHC-P, WB
Monkey
Human, Mouse, Rat
Mouse
Monoclonal
Unconjugated
50 μl, 100 μl

Quality Guarantee
Explore bioreagents carefree to elevate your research. All our products are rigorously tested for performance. If a product does not perform as described on its datasheet, our scientific support team will provide expert troubleshooting, a prompt replacement, or a refund. For full details, please see our Terms & Conditions and Buying Guide. Contact us at support@biorbyt.com.

Western blot analysis of lysate from 293 cell line, using RPS6 Antibody (N-term). AM8431a was diluted at 1:1000. A goat anti-mouse IgG H&L (HRP) at 1: 3000 dilution was used as the secondary antibody. Lysate at 35μg.

Immunohistochemical analysis of paraffin-embedded H. brain section using RPS6 Antibody (N-term). AM8431a was diluted at 1:25 dilution. A peroxidase-conjugated goat anti-mouse IgG at 1:400 dilution was used as the secondary antibody, followed by DAB staining.

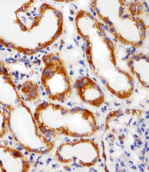
Immunohistochemical analysis of paraffin-embedded M. kidney section using RPS6 Antibody (N-term). AM8431a was diluted at 1:25 dilution. A peroxidase-conjugated goat anti-mouse IgG at 1:400 dilution was used as the secondary antibody, followed by DAB staining.

Immunohistochemical analysis of paraffin-embedded H. kidney section using RPS6 Antibody (N-term). AM8431a was diluted at 1:25 dilution. A peroxidase-conjugated goat anti-mouse IgG at 1:400 dilution was used as the secondary antibody, followed by DAB staining.

Fluorescent image of Hela cells stained with RPS6 Antibody (N-term). AM8431a was diluted at 1:25 dilution. An Alexa Fluor 488-conjugated goat anti-mouse lgG at 1:400 dilution was used as the secondary antibody (green). Cytoplasmic actin was counterstained with Alexa Fluor 555 conjugated with Phalloidin (red).

Fluorescent image of Hela cells stained with RPS6 Antibody (N-term). Diluted at 1:25 dilution. An Alexa Fluor 488-conjugated goat anti-mouse lgG at 1:400 dilution was used as the secondary antibody (green). Cytoplasmic actin was counterstained with Alexa Fluor 555 conjugated with Phalloidin (red).

Western blot analysis of lysates from 293, Hela, mouse NIH/3T3, rat PC-12 cell line and rat brain tissue lysate (from left to right), using RPS6 Antibody (N-term). Diluted at 1:2000 at each lane. A goat anti-mouse IgG H&L (HRP) at 1: 3000 dilution was used as the secondary antibody. Lysates at 35μg per lane.
Quick Database Links
UniProt Details
−Documents Download
Request a Document
Protocol Information
RPS6 Antibody (N-term) (orb1927147)
Participating in our Biorbyt product reviews program enables you to support fellow scientists by sharing your firsthand experience with our products.
Login to Submit a Review












