You have no items in your shopping cart.
rpt3 Antibody
Description
Images & Validation
−
| Tested Applications | ELISA, WB |
|---|---|
| Reactivity | Bacteria |
| Application Notes |
Key Properties
−| Host | Rabbit |
|---|---|
| Clonality | Polyclonal |
| Isotype | IgG |
| Immunogen | Recombinant Schizosaccharomyces pombe (strain 972 / ATCC 24843) (Fission yeast) rpt3 protein |
| Target | rpt3 |
| Purification | Antigen Affinity |
| Conjugation | Unconjugated |
Storage & Handling
−| Storage | Maintain refrigerated at 2-8°C for up to 2 weeks. For long term storage store at -20°C in small aliquots to prevent freeze-thaw cycles. |
|---|---|
| Form/Appearance | Liquid |
| Buffer/Preservatives | Preservative: 0.03% Proclin 300. Constituents: 50% Glycerol |
| Expiration Date | 12 months from date of receipt. |
| Disclaimer | For research use only |
Alternative Names
−Similar Products
−PSMC4 Rabbit Polyclonal Antibody [orb583282]
WB
Bovine, Canine, Equine, Goat, Guinea pig, Rabbit, Rat, Yeast, Zebrafish
Human, Mouse
Rabbit
Polyclonal
Unconjugated
100 μlRabbit PSMC4 Antibody [orb1524065]
IHC, IP, WB
Bovine, Mouse, Rat
Human
Rabbit
Polyclonal
Unconjugated
100 μl, 10 μlPSMC4 Rabbit Polyclonal Antibody [orb340842]
IF, WB
Human, Mouse, Rat
Rabbit
Polyclonal
Unconjugated
50 μl, 100 μl, 200 μl, 30 μl

Quality Guarantee
Explore bioreagents carefree to elevate your research. All our products are rigorously tested for performance. If a product does not perform as described on its datasheet, our scientific support team will provide expert troubleshooting, a prompt replacement, or a refund. For full details, please see our Terms & Conditions and Buying Guide. Contact us at support@biorbyt.com.
Quick Database Links
UniProt Details
−Documents Download
Request a Document
Protocol Information
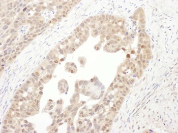
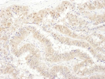
rpt3 Antibody (orb855443)
Participating in our Biorbyt product reviews program enables you to support fellow scientists by sharing your firsthand experience with our products.
Login to Submit a Review










