You have no items in your shopping cart.
SAP97 Antibody
SKU: orb3013010
Description
Research Area
Cancer Biology, Neuroscience, Pharmacology & Drug Discovery, Signal Transduction
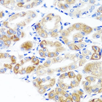
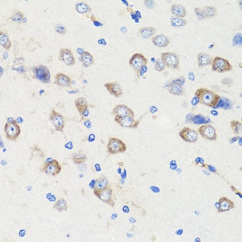
Images & Validation
−
| Tested Applications | ICC, WB |
|---|---|
| Dilution Range | WB (1:1000), ICC/IF (1:100); optimal dilutions for assays should be determined by the user. |
| Reactivity | Human, Mouse, Rat |
| Application Notes |
Key Properties
−| Antibody Type | Recombinant Antibody |
|---|---|
| Host | Rabbit |
| Clonality | Recombinant |
| Isotype | IgG Kappa |
| Clone No. | G28 |
| Immunogen | Fusion protein, AA #1-104 (N-terminus) of rat SAP97. |
| Purification | MabSelect PrismA |
| Conjugation | Unconjugated |
Storage & Handling
−| Storage | Maintain refrigerated at 2-8°C for up to 2 weeks. For long term storage store at -20°C in small aliquots to prevent freeze-thaw cycles. |
|---|---|
| Buffer/Preservatives | PBS pH 7.4, 0.02% Proclin 300, 50% glycerol |
| Concentration | 1mg/mL |
| Expiration Date | 12 months from date of receipt. |
| Disclaimer | For research use only |
Alternative Names
−SAP97 Antibody, DLGH1 Antibody, DLGH 1 Antibody, DLG1 Antibody, DLG 1 Antibody, Synapse-associated protein 97 Antibody, Disks large homolog 1 Antibody, SAP-97 Antibody, SAP 97 Antibody
Similar Products
−SAP97/DLG1 Rabbit Polyclonal Antibody [orb308847]
IHC, WB
Human, Mouse, Rat
Rabbit
Polyclonal
Unconjugated
100 μgSAP97 Rabbit Polyclonal Antibody [orb412779]
IF, WB
Human, Mouse, Rat
Rabbit
Polyclonal
Unconjugated
50 μl, 100 μl, 200 μl, 30 μl

Quality Guarantee
Explore bioreagents carefree to elevate your research. All our products are rigorously tested for performance. If a product does not perform as described on its datasheet, our scientific support team will provide expert troubleshooting, a prompt replacement, or a refund. For full details, please see our Terms & Conditions and Buying Guide. Contact us at support@biorbyt.com.
Quick Database Links
UniProt
UniProt Details
− No UniProt data available
Documents Download
Datasheet
Product Information
Request a Document
Protocol Information
WB
Western Blot (IB, immunoblot)
ICC
Immunocytochemistry
SAP97 Antibody (orb3013010)
Based on 0 reviews
Participating in our Biorbyt product reviews program enables you to support fellow scientists by sharing your firsthand experience with our products.
Login to Submit a Review









