You have no items in your shopping cart.
SEC11A Rabbit Polyclonal Antibody
Description
Images & Validation
−| Tested Applications | ELISA, IHC, WB |
|---|---|
| Dilution Range | WB: 1:500-1:2000; IHC: 1:20-1:200 |
| Reactivity | Human, Mouse, Rat |
Key Properties
−| Antibody Type | Primary Antibody |
|---|---|
| Host | Rabbit |
| Clonality | Polyclonal |
| Isotype | IgG |
| Immunogen | SEC11 homolog A(S. cerevisiae) |
| Target | SEC11A |
| Purity | ≥95% as determined by SDS-PAGE |
| Purification | Immunogen affinity purified |
| Conjugation | Unconjugated |
Storage & Handling
−| Storage | Maintain refrigerated at 2-8°C for up to 2 weeks. For long term storage store at -20°C in small aliquots to prevent freeze-thaw cycles. |
|---|---|
| Form/Appearance | liquid |
| Expiration Date | 12 months from date of receipt. |
| Disclaimer | For research use only |
Alternative Names
−Similar Products
−SEC11A Rabbit Polyclonal Antibody [orb411801]
IF, WB
Human, Mouse, Rat
Rabbit
Polyclonal
Unconjugated
100 μl, 50 μl, 200 μl, 30 μlSC11A Rabbit Polyclonal Antibody [orb186057]
IF, IHC-Fr, IHC-P
Bovine, Canine, Mouse, Primate, Rabbit, Rat, Sheep, Zebrafish
Human
Rabbit
Polyclonal
Unconjugated
50 μl, 100 μl, 200 μlSEC11A Rabbit Polyclonal Antibody [orb2955023]
ELISA, IHC, WB
Bovine, Canine, Human, Mouse, Rat
Rabbit
Polyclonal
Unconjugated
50 μg, 100 μgSC11A Rabbit Polyclonal Antibody (HRP) [orb477130]
IHC-Fr, IHC-P
Bovine, Canine, Mouse, Primate, Rabbit, Rat, Sheep, Zebrafish
Human
Rabbit
Polyclonal
HRP
100 μl

Quality Guarantee
Explore bioreagents carefree to elevate your research. All our products are rigorously tested for performance. If a product does not perform as described on its datasheet, our scientific support team will provide expert troubleshooting, a prompt replacement, or a refund. For full details, please see our Terms & Conditions and Buying Guide. Contact us at support@biorbyt.com.

mouse testis tissue were subjected to SDS PAGE followed by western blot with orb631037 (SEC11A antibody) at dilution of 1:800.

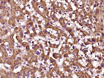
Immunohistochemistry of paraffin-embedded human colon cancer using orb631037 (SEC11A antibody) at dilution of 1:100.
Quick Database Links
UniProt Details
−Documents Download
Request a Document
Protocol Information
SEC11A Rabbit Polyclonal Antibody (orb631037)
Participating in our Biorbyt product reviews program enables you to support fellow scientists by sharing your firsthand experience with our products.
Login to Submit a Review



