You have no items in your shopping cart.
SFPQ Antibody
Description
Research Area
Images & Validation
−| Tested Applications | ELISA, IHC, WB |
|---|---|
| Dilution Range | WB: 1:500 - 1:1000; IHC: 1:50 - 1:200 |
| Reactivity | Human, Mouse, Rat |
Key Properties
−| Antibody Type | Primary Antibody |
|---|---|
| Host | Rabbit |
| Clonality | Polyclonal |
| Isotype | IgG |
| Immunogen | splicing factor proline/glutamine-rich (polypyrimidine tract binding protein associated) |
| Target | SFPQ |
| Molecular Weight | 115 kDa |
| Purity | ≥95% as determined by SDS-PAGE |
| Purification | Immunogen affinity purified |
| Conjugation | Unconjugated |
Storage & Handling
−| Storage | Maintain refrigerated at 2-8°C for up to 2 weeks. For long term storage store at -20°C in small aliquots to prevent freeze-thaw cycles. |
|---|---|
| Form/Appearance | liquid |
| Disclaimer | For research use only |
Alternative Names
−Similar Products
−SFPQ Rabbit Polyclonal Antibody [orb1402156]
FC, ICC, IF, IHC, WB
Human, Mouse, Rat
Rabbit
Polyclonal
Unconjugated
100 μgSFPQ Rabbit Polyclonal Antibody [orb577664]
IHC, WB
Bovine, Canine, Mouse, Rat
Human
Rabbit
Polyclonal
Unconjugated
100 μlSFPQ Rabbit Polyclonal Antibody [orb313046]
IF, IHC-Fr, IHC-P
Mouse
Human, Rat
Rabbit
Polyclonal
Unconjugated
100 μl, 200 μl, 50 μlSFPQ Antibody [orb411632]
IF, IHC, WB
Human, Mouse, Rat
Rabbit
Polyclonal
Unconjugated
200 μl, 30 μl, 50 μl, 100 μl

Quality Guarantee
Explore bioreagents carefree to elevate your research. All our products are rigorously tested for performance. If a product does not perform as described on its datasheet, our scientific support team will provide expert troubleshooting, a prompt replacement, or a refund. For full details, please see our Terms & Conditions and Buying Guide. Contact us at support@biorbyt.com.

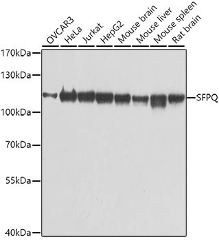
HeLa cells were subjected to SDS PAGE followed by western blot with orb631110 (SFPQ antibody) at dilution of 1:1000.

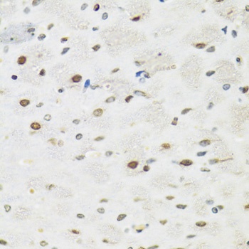
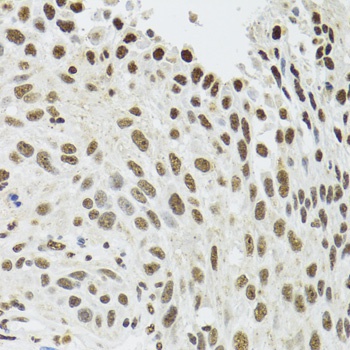
Immunohistochemistry of paraffin-embedded human stomach using orb631110 (SFPQ antibody) at dilution of 1:50.
Quick Database Links
UniProt Details
−Documents Download
Request a Document
Protocol Information
SFPQ Antibody (orb631110)
Participating in our Biorbyt product reviews program enables you to support fellow scientists by sharing your firsthand experience with our products.
Login to Submit a Review



























