You have no items in your shopping cart.
SGTA Antibody
Description
Research Area
Images & Validation
−| Tested Applications | ELISA, IF, IHC, WB |
|---|---|
| Dilution Range | WB: 1:500 - 1:2000; IHC: 1:50 - 1:200; IF: 1:50 - 1:100 |
| Reactivity | Human |
Key Properties
−| Antibody Type | Primary Antibody |
|---|---|
| Host | Rabbit |
| Clonality | Polyclonal |
| Isotype | IgG |
| Immunogen | small glutamine-rich tetratricopeptide repeat (TPR)-containing, alpha |
| Target | SGTA |
| Molecular Weight | 38 kDa |
| Purity | ≥95% as determined by SDS-PAGE |
| Purification | Immunogen affinity purified |
| Conjugation | Unconjugated |
Storage & Handling
−| Storage | Maintain refrigerated at 2-8°C for up to 2 weeks. For long term storage store at -20°C in small aliquots to prevent freeze-thaw cycles. |
|---|---|
| Form/Appearance | liquid |
| Disclaimer | For research use only |
Alternative Names
−Similar Products
−Sgta (mouse aa84-97) Antibody [orb400103]
ELISA, IHC, WB
Bovine, Canine, Mouse, Porcine, Rat
Human
Goat
Polyclonal
Unconjugated
100 μgSGTA Rabbit Polyclonal Antibody [orb1402079]
ELISA, FC, ICC, IF, WB
Human, Mouse, Rat
Rabbit
Polyclonal
Unconjugated
100 μg

Quality Guarantee
Explore bioreagents carefree to elevate your research. All our products are rigorously tested for performance. If a product does not perform as described on its datasheet, our scientific support team will provide expert troubleshooting, a prompt replacement, or a refund. For full details, please see our Terms & Conditions and Buying Guide. Contact us at support@biorbyt.com.

K-562 cells were subjected to SDS PAGE followed by western blot with orb631140 (SGTA antibody) at dilution of 1:1000.

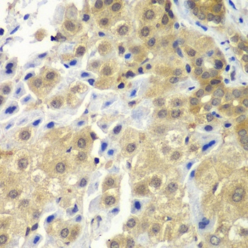
Immunohistochemistry of paraffin-embedded human liver cancer using orb631140 (SGTA antibody) at dilution of 1:50.
Quick Database Links
UniProt Details
−Documents Download
Request a Document
Protocol Information
SGTA Antibody (orb631140)
Participating in our Biorbyt product reviews program enables you to support fellow scientists by sharing your firsthand experience with our products.
Login to Submit a Review











