You have no items in your shopping cart.
SHARPIN Antibody
Description
Research Area
Images & Validation
−| Tested Applications | ELISA, IF, IHC, WB |
|---|---|
| Dilution Range | WB:1:500-5000, IHC-P:1:500-1000, IF:1:50-200 |
| Reactivity | Human |
Key Properties
−| Host | Rabbit |
|---|---|
| Clonality | Polyclonal |
| Isotype | IgG |
| Immunogen | Recombinant Human Sharpin protein (82-171AA) |
| Target | SHARPIN |
| Purification | >95%, Protein G purified |
| Conjugation | Unconjugated |
Storage & Handling
−| Storage | Maintain refrigerated at 2-8°C for up to 2 weeks. For long term storage store at -20°C in small aliquots to prevent freeze-thaw cycles. |
|---|---|
| Form/Appearance | Liquid |
| Buffer/Preservatives | Preservative: 0.03% Proclin 300. Constituents: 50% Glycerol |
| Expiration Date | 12 months from date of receipt. |
| Disclaimer | For research use only |
Alternative Names
−Similar Products
−SHARPIN Antibody [orb631160]
ELISA, IHC, IP, WB
Human, Mouse, Rat
Rabbit
Polyclonal
Unconjugated
100 μg, 50 μgSHARPIN Rabbit Polyclonal Antibody [orb584320]
WB
Bovine, Rat
Human
Rabbit
Polyclonal
Unconjugated
100 μlSHARPIN Antibody [orb756618]
ELISA, IHC, WB
Human, Mouse, Rat
Rabbit
Polyclonal
Unconjugated
50 μg, 100 μg

Quality Guarantee
Explore bioreagents carefree to elevate your research. All our products are rigorously tested for performance. If a product does not perform as described on its datasheet, our scientific support team will provide expert troubleshooting, a prompt replacement, or a refund. For full details, please see our Terms & Conditions and Buying Guide. Contact us at support@biorbyt.com.

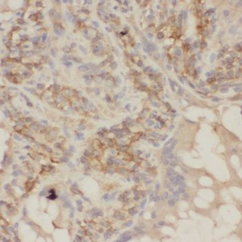
Immunohistochemistry of paraffin-embedded human prostate cancer tissue using SHARPIN antibody

Western blot aanalysis of Hela whole cell lysate, Jurkat whole cell lysate, A549 whole cell lysate, LO2 whole cell lysateusing SHARPIN antibody

Immunofluorescence staining of PC-3 cells using SHARPIN antibody

Immunohistochemistry of paraffin-embedded human skeletal muscle tissue using SHARPIN antibody
Quick Database Links
UniProt Details
−Documents Download
Request a Document
Protocol Information
SHARPIN Antibody (orb417431)
Participating in our Biorbyt product reviews program enables you to support fellow scientists by sharing your firsthand experience with our products.
Login to Submit a Review







