You have no items in your shopping cart.
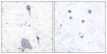
SIRP Alpha Rabbit Polyclonal Antibody
Description
Research Area
Images & Validation
−| Tested Applications | FC, WB |
|---|---|
| Dilution Range | WB=1:500-2000, Flow-Cyt=1μg /test |
| Reactivity | Human, Mouse, Rat |
| Predicted Reactivity | Bovine, Canine, Equine, Porcine |
Related Conjugates & Formulations
−Key Properties
−| Antibody Type | Primary Antibody |
|---|---|
| Host | Rabbit |
| Clonality | Polyclonal |
| Isotype | IgG |
| Immunogen | KLH conjugated synthetic peptide derived from human CD172a (151-250/504aa) |
| Target | SIRPA |
| Molecular Weight | 56 kDa |
| Purification | Affinity purified by Protein A |
| Conjugation | Unconjugated |
Storage & Handling
−| Storage | Maintain refrigerated at 2-8°C for up to 2 weeks. For long term storage store at -20°C in small aliquots to prevent freeze-thaw cycles. |
|---|---|
| Form/Appearance | Liquid |
| Buffer/Preservatives | 0.01M TBS (pH7.4) with 1% rAlbumin, 0.02% Proclin300 and 50% Glycerol. |
| Concentration | 1mg/ml |
| Disclaimer | For research use only |
Alternative Names
−Similar Products
−SIRP-α1 rabbit pAb Antibody [orb766321]
ELISA, IF, IHC, WB
Human, Mouse, Rat
Polyclonal
Unconjugated
100 μl, 50 μl

Quality Guarantee
Explore bioreagents carefree to elevate your research. All our products are rigorously tested for performance. If a product does not perform as described on its datasheet, our scientific support team will provide expert troubleshooting, a prompt replacement, or a refund. For full details, please see our Terms & Conditions and Buying Guide. Contact us at support@biorbyt.com.

Blank control (blue): U937 (fixed with 2% paraformaldehyde (10 min)). Primary Antibody: Rabbit Anti-SIRP antibody (orb4840), dilution: 1 µg in 100 µl 1X PBS containing 0.5% BSA, Isotype Control Antibody: Rabbit IgG (orange), used under the same conditions, Secondary Antibody: Goat anti-rabbit IgG-PE (white blue), dilution: 1:200 in 1X PBS containing 0.5% BSA.

Sample: Lane 1: Mouse Brain Lysates, Lane 2: Mouse Cerebellum Lysates, Lane 3: Mouse Spleen Lysates, Lane 4: Mouse Placenta Lysates, Lane 5: Rat Brain Lysates, Lane 6: Rat Cerebellum Lysates, Primary: Anti-SIRP Alpha (orb4840) at 1/1000 dilution, Secondary: IRDye800CW Goat Anti-Rabbit IgG at 1/20000 dilution, Predicted band size: 56kDa, Observed band size: 56kDa.
Quick Database Links
UniProt Details
−Documents Download
Request a Document
Protocol Information
SIRP Alpha Rabbit Polyclonal Antibody (orb4840)
Participating in our Biorbyt product reviews program enables you to support fellow scientists by sharing your firsthand experience with our products.
Login to Submit a Review







