You have no items in your shopping cart.
SLC22A8 Antibody
Description
Images & Validation
−| Tested Applications | ELISA, IHC, WB |
|---|---|
| Dilution range | ELISA:1:1000-1:5000, WB:1:500-1:2000, IHC-P:1:25-1:100 |
| Reactivity | Human |
Key Properties
−| Host | Rabbit |
|---|---|
| Clonality | Polyclonal |
| Isotype | IgG |
| Immunogen | Synthetic peptide of Human SLC22A8 |
| Target | SLC22A8 |
| Purification | Antigen affinity purification |
| Conjugation | Unconjugated |
Storage & Handling
−| Storage | Maintain refrigerated at 2-8°C for up to 2 weeks. For long term storage store at -20°C in small aliquots to prevent freeze-thaw cycles. |
|---|---|
| Form/Appearance | Liquid |
| Buffer/Preservatives | -20°C, pH7.4 PBS, 0.05% NaN3, 40% Glycerol |
| Disclaimer | For research use only |
Alternative Names
−Similar Products
−SLC22A8 antibody [orb136646]
ICC, IF, IHC-P, WB
Guinea pig, Human, Mouse, Rat
Rabbit
Polyclonal
Unconjugated
100 μgOAT-3 Rabbit Polyclonal Antibody [orb499682]
WB
Human, Rabbit, Rat
Mouse
Rabbit
Polyclonal
Unconjugated
100 μl, 200 μl, 50 μlSLC22A8 Rabbit Polyclonal Antibody [orb578107]
WB
Bovine, Canine, Mouse, Rabbit
Human
Rabbit
Polyclonal
Unconjugated
100 μl

Quality Guarantee
Explore bioreagents carefree to elevate your research. All our products are rigorously tested for performance. If a product does not perform as described on its datasheet, our scientific support team will provide expert troubleshooting, a prompt replacement, or a refund. For full details, please see our Terms & Conditions and Buying Guide. Contact us at support@biorbyt.com.

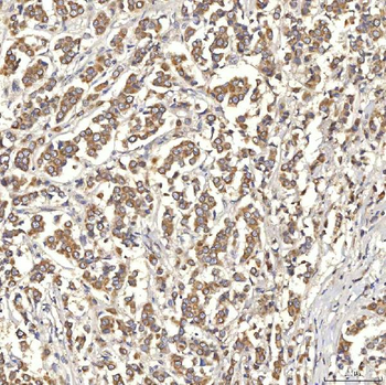
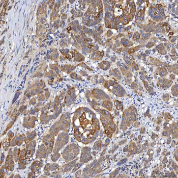
Immunohistochemistry of paraffin-embedded Human liver cancer tissue using SLC22A8 antibody

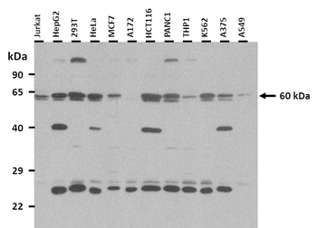
Western blot aanalysis of 231 cellsusing SLC22A8 antibody

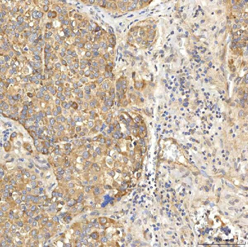
Immunohistochemistry of paraffin-embedded Human cervical cancer tissue using SLC22A8 antibody
Quick Database Links
UniProt Details
−Documents Download
Request a Document
Protocol Information
SLC22A8 Antibody (orb523299)
Participating in our Biorbyt product reviews program enables you to support fellow scientists by sharing your firsthand experience with our products.
Login to Submit a Review

















