You have no items in your shopping cart.
Description
Research Area
Images & Validation
−| Tested Applications | WB |
|---|---|
| Reactivity | Human |
| Predicted Reactivity | Bovine, Rabbit |
Key Properties
−| Host | Rabbit |
|---|---|
| Clonality | Polyclonal |
| Immunogen | The immunogen is a synthetic peptide directed towards the N terminal region of human SLC39A4 |
| Target | SLC39A4 |
| Protein Sequence | Synthetic peptide located within the following region: ASLVSLELGLLLAVLVVTATASPPAGLLSLLTSGQGALDQEALGGLLNTL |
| Molecular Weight | 68kDa |
| Purification | Affinity Purified |
| Conjugation | Unconjugated |
Storage & Handling
−| Storage | Maintain refrigerated at 2-8°C for up to 2 weeks. For long term storage store at -20°C in small aliquots to prevent freeze-thaw cycles. |
|---|---|
| Buffer/Preservatives | Liquid. Purified antibody supplied in 1x PBS buffer with 0.09% (w/v) sodium azide and 2% sucrose. |
| Concentration | 0.5 mg/ml |
| Expiration Date | 12 months from date of receipt. |
| Disclaimer | For research use only |
Alternative Names
−Similar Products
−SLC39A4 Rabbit Polyclonal Antibody [orb395779]
ELISA, IHC, WB
Human, Mouse
Rabbit
Polyclonal
Unconjugated
50 μg, 100 μgSLC39A4 Rabbit Polyclonal Antibody [orb313105]
IF, IHC-Fr, IHC-P, WB
Rat
Human, Rat
Rabbit
Polyclonal
Unconjugated
50 μl, 100 μl, 200 μl

Quality Guarantee
Explore bioreagents carefree to elevate your research. All our products are rigorously tested for performance. If a product does not perform as described on its datasheet, our scientific support team will provide expert troubleshooting, a prompt replacement, or a refund. For full details, please see our Terms & Conditions and Buying Guide. Contact us at support@biorbyt.com.

25 ug of the indicated Human whole cell extracts was loaded onto a 12% SDS-PAGE gel. 5 ug/mL of the antibody was used in this experiment.

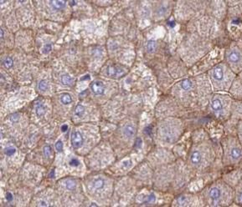
Sample Tissue: Human Ovary Tumor, Antibody Dilution: 1 ug/mL.

Positive control (+): MCF7 (N10), Negative control (-): Human Ovary (OV), Antibody concentration: 3 ug/mL.

WB Suggested Anti-SLC39A4 Antibody Titration: 0.2-1 ug/mL, ELISA Titer: 1:312500, Positive Control: Transfected 293T.
Documents Download
Request a Document
SLC39A4 Rabbit Polyclonal Antibody (orb330365)
Participating in our Biorbyt product reviews program enables you to support fellow scientists by sharing your firsthand experience with our products.
Login to Submit a Review






