You have no items in your shopping cart.
SLUG Antibody
Description
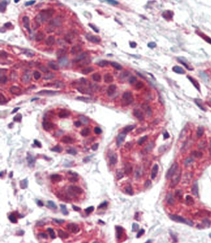
Images & Validation
−| Tested Applications | FC, WB |
|---|---|
| Dilution Range | WB 1:2000, FLOW 1:100 |
| Reactivity | Human, Mouse, Rat |
| Application Notes |
Key Properties
−| Antibody Type | Primary Antibody |
|---|---|
| Host | Mouse |
| Clonality | Monoclonal |
| Isotype | IgG1 |
| Clone No. | OTI4E1 |
| Immunogen | Full length human recombinant protein of human SNAI2 (NP_003059) produced in E.coli. |
| Target | SLUG |
| Molecular Weight | 29.8 kDa |
| Conjugation | Unconjugated |
Storage & Handling
−| Storage | Maintain refrigerated at 2-8°C for up to 2 weeks. For long term storage store at -20°C in small aliquots to prevent freeze-thaw cycles. |
|---|---|
| Expiration Date | 12 months from date of receipt. |
| Disclaimer | For research use only |
Similar Products
−SNAIL + SLUG Rabbit Polyclonal Antibody [orb158431]
FC, WB
Bovine, Canine, Gallus, Guinea pig, Porcine, Rabbit, Sheep, Zebrafish
Human, Mouse, Rat
Rabbit
Polyclonal
Unconjugated
50 μl, 100 μl, 200 μlSNAI2 Rabbit Polyclonal Antibody [orb11382]
FC, IF, IHC-Fr, IHC-P, WB
Bovine, Canine, Gallus, Porcine, Rabbit, Rat
Human, Mouse
Rabbit
Polyclonal
Unconjugated
50 μl, 100 μl, 200 μlSLUG Antibody (Center) [orb1931752]
IF, IHC-P, WB
Bovine
Human, Mouse, Rat
Rabbit
Polyclonal
Unconjugated
100 μl, 50 μlSNAI2 Rabbit Polyclonal Antibody [orb574596]
IHC, WB
Bovine, Canine, Equine, Guinea pig, Mouse, Rabbit, Rat, Sheep, Yeast
Human
Rabbit
Polyclonal
Unconjugated
100 μl

Quality Guarantee
Explore bioreagents carefree to elevate your research. All our products are rigorously tested for performance. If a product does not perform as described on its datasheet, our scientific support team will provide expert troubleshooting, a prompt replacement, or a refund. For full details, please see our Terms & Conditions and Buying Guide. Contact us at support@biorbyt.com.

Western blot analysis of HEK293T cells were transfected with the pCMV6-ENTRY control (Left lane) or pCMV6-ENTRY SNAI2 (Right lane) cDNA for 48 hrs and lysed using SLUG (SNAI2) antibody
Documents Download
Request a Document
Protocol Information
SLUG Antibody (orb1333074)
Participating in our Biorbyt product reviews program enables you to support fellow scientists by sharing your firsthand experience with our products.
Login to Submit a Review























