You have no items in your shopping cart.
SMAD9 Antibody
Description
Research Area
Images & Validation
−| Tested Applications | IF, IHC, WB |
|---|---|
| Reactivity | Human, Mouse, Rat |
| Application Notes |
Key Properties
−| Antibody Type | Primary Antibody |
|---|---|
| Host | Rabbit |
| Clonality | Polyclonal |
| Isotype | IgG |
| Immunogen | Recombinant fusion protein containing a sequence corresponding to amino acids 1-300 of human SMAD9 (NP_005896.1). |
| Target | SMAD9 |
| Molecular Weight | Observed: 45-52kDa |
| Purification | Affinity purification |
| Conjugation | Unconjugated |
Storage & Handling
−| Storage | Maintain refrigerated at 2-8°C for up to 2 weeks. For long term storage store at -20°C in small aliquots to prevent freeze-thaw cycles. |
|---|---|
| Form/Appearance | Liquid |
| Buffer/Preservatives | PBS with 0.02% sodium azide, 50% glycerol, pH 7.3. |
| Concentration | batch dependent |
| Expiration Date | 12 months from date of receipt. |
| Disclaimer | For research use only |
Alternative Names
−Similar Products
−SMAD9 Antibody [orb1410550]
FC, IF
Human
Mouse
Monoclonal
Unconjugated
20 μg, 100 μg, 100 μg (without BSA and Azide)Human Mothers Against Decapentaplegic Homolog 9 (Smad9) ELISA Kit [orb779364]
Human
0.16-10 ng/mL
0.059 ng/mL
96 T, 48 TSMAD9 Rabbit Polyclonal Antibody [orb6989]
FC, IF, IHC-Fr, IHC-P, WB
Bovine, Canine, Equine, Gallus, Porcine
Human, Mouse, Rat
Rabbit
Polyclonal
Unconjugated
50 μl, 200 μl, 100 μl

Quality Guarantee
Explore bioreagents carefree to elevate your research. All our products are rigorously tested for performance. If a product does not perform as described on its datasheet, our scientific support team will provide expert troubleshooting, a prompt replacement, or a refund. For full details, please see our Terms & Conditions and Buying Guide. Contact us at support@biorbyt.com.

Western blot analysis of extracts of various cell lines, using SMAD9 antibody (orb1254306) at 1:1000 dilution. Secondary antibody: HRP Goat Anti-Rabbit IgG (H+L) at 1:10000 dilution. Lysates/proteins: 25 ug per lane. Blocking buffer: 3% nonfat dry milk in TBST. Detection: ECL Basic Kit. Exposure time: 30s.

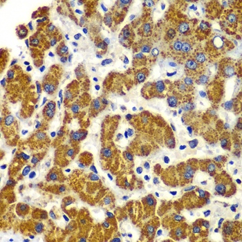
Immunohistochemistry of paraffin-embedded human liver damage using SMAD9 antibody (orb1254306) at dilution of 1:100 (40x lens).

Immunohistochemistry of paraffin-embedded human brain cancer using SMAD9 antibody (orb1254306) at dilution of 1:100 (40x lens).

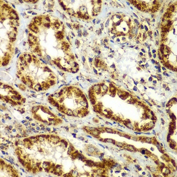
Immunohistochemistry of paraffin-embedded human kidney using SMAD9 antibody (orb1254306) at dilution of 1:100 (40x lens).

Immunohistochemistry of paraffin-embedded human kidney cancer using SMAD9 antibody (orb1254306) at dilution of 1:100 (40x lens).

Immunohistochemistry of paraffin-embedded mouse brain using SMAD9 antibody (orb1254306) at dilution of 1:100 (40x lens).

Immunohistochemistry of paraffin-embedded mouse kidney using SMAD9 antibody (orb1254306) at dilution of 1:100 (40x lens).

Immunofluorescence analysis of A549 cells using SMAD9 antibody (orb1254306). Blue: DAPI for nuclear staining.
Quick Database Links
UniProt Details
−Documents Download
Request a Document
Protocol Information
SMAD9 Antibody (orb1254306)
Participating in our Biorbyt product reviews program enables you to support fellow scientists by sharing your firsthand experience with our products.
Login to Submit a Review













