You have no items in your shopping cart.
SMAD family member 9 Antibody
Description
Research Area
Images & Validation
−| Tested Applications | ICC, IHC-P, WB |
|---|---|
| Dilution Range | WB: 1:500-1:3000 , IF: 1:100-1:1000 , IHC-P: 1:100-1:1000 |
| Reactivity | Human |
Key Properties
−| Antibody Type | Primary Antibody |
|---|---|
| Host | Rabbit |
| Clonality | Polyclonal |
| Isotype | IgG |
| Immunogen | Recombinant protein encompassing a sequence within the center region of human SMAD9. The exact sequence is proprietary. |
| Target | SMAD9 |
| Molecular Weight | 52 |
| Purity | Purified by antigen-affinity chromatography. |
| Purification | Purified by antigen-affinity chromatography. |
| Conjugation | Unconjugated |
Storage & Handling
−| Storage | Store as concentrated solution. Centrifuge briefly prior to opening vial. For short-term storage (1-2 weeks), store at 4°C. For long-term storage, aliquot and store at -20°lC or below. Avoid multiple freeze-thaw cycles. |
|---|---|
| Form/Appearance | Liquid: 0.1M Tris, 0.1M Glycine, 20% Glycerol (pH7). 0.01% Thimerosal was added as a preservative. |
| Buffer/Preservatives | 0.1M Tris, 0.1M Glycine, 20% Glycerol, 0.01% Thimerosal. |
| Concentration | 0.68 mg/ml |
| Expiration Date | 12 months from date of receipt. |
| Disclaimer | For research use only |
Alternative Names
−Similar Products
−SMAD9 Antibody [orb1410550]
FC, IF
Human
Mouse
Monoclonal
Unconjugated
20 μg, 100 μg, 100 μg (without BSA and Azide)SMAD9 Rabbit Polyclonal Antibody [orb6989]
FC, IF, IHC-Fr, IHC-P, WB
Bovine, Canine, Equine, Gallus, Porcine
Human, Mouse, Rat
Rabbit
Polyclonal
Unconjugated
50 μl, 200 μl, 100 μl

Quality Guarantee
Explore bioreagents carefree to elevate your research. All our products are rigorously tested for performance. If a product does not perform as described on its datasheet, our scientific support team will provide expert troubleshooting, a prompt replacement, or a refund. For full details, please see our Terms & Conditions and Buying Guide. Contact us at support@biorbyt.com.

Immunofluorescence analysis of HeLa cells using SMAD9 antibody

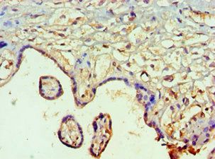
Immunohistochemical staining of human breast carcinoma using SMAD9 antibody

Western blot analysis of NT2D1 cells using SMAD9 antibody

Western blot analysis of 293T cells using MYO1B antibody
Quick Database Links
UniProt Details
−Documents Download
Request a Document
Protocol Information
SMAD family member 9 Antibody (orb556917)
Participating in our Biorbyt product reviews program enables you to support fellow scientists by sharing your firsthand experience with our products.
Login to Submit a Review















