You have no items in your shopping cart.
Description
Research Area
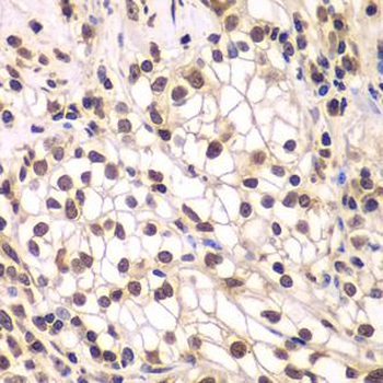
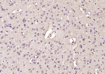
Images & Validation
−| Tested Applications | WB |
|---|---|
| Reactivity | Human |
| Predicted Reactivity | Bovine, Canine, Equine, Guinea pig, Mouse, Porcine, Rabbit, Rat |
Key Properties
−| Host | Rabbit |
|---|---|
| Clonality | Polyclonal |
| Immunogen | The immunogen is a synthetic peptide directed towards the C terminal region of human SMARCC1 |
| Target | SMARCC1 |
| Protein Sequence | Synthetic peptide located within the following region: TKSEEKETEENKELTDTCKERESDTGKKKVEHEISEGNVATAAAAALASA |
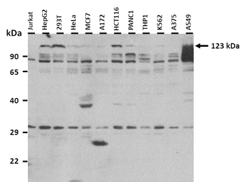
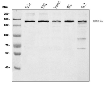
| Molecular Weight | 123 kDa |
| Purification | Protein A purified |
| Conjugation | Unconjugated |
Storage & Handling
−| Storage | Maintain refrigerated at 2-8°C for up to 2 weeks. For long term storage store at -20°C in small aliquots to prevent freeze-thaw cycles. |
|---|---|
| Buffer/Preservatives | Liquid. Purified antibody supplied in 1x PBS buffer with 0.09% (w/v) sodium azide and 2% sucrose. |
| Concentration | 1.0 mg/ml |
| Expiration Date | 12 months from date of receipt. |
| Disclaimer | For research use only |
Alternative Names
−Similar Products
−SMARCC1 Rabbit Polyclonal Antibody [orb631319]
ELISA, IHC, IP, WB
Human
Rabbit
Polyclonal
Unconjugated
50 μg, 100 μgSMARCC1 Rabbit Polyclonal Antibody [orb313118]
IF, IHC-Fr, IHC-P
Bovine, Canine, Equine, Human, Mouse, Rabbit, Sheep
Rat
Rabbit
Polyclonal
Unconjugated
50 μl, 100 μl, 200 μlSMARCC1/BAF155 Rabbit Polyclonal Antibody [orb763143]
ELISA, FC, WB
Human
Rabbit
Polyclonal
Unconjugated
100 μgBAF155 Rabbit Polyclonal Antibody [orb340999]
ChIP, IHC, IP, WB
Human, Rat
Rabbit
Polyclonal
Unconjugated
50 μl, 100 μl, 200 μl, 30 μlSMARCC1 Rabbit Polyclonal Antibody [orb2953645]
ELISA, IHC, WB
Human
Rabbit
Polyclonal
Unconjugated
50 μg, 100 μg

Quality Guarantee
Explore bioreagents carefree to elevate your research. All our products are rigorously tested for performance. If a product does not perform as described on its datasheet, our scientific support team will provide expert troubleshooting, a prompt replacement, or a refund. For full details, please see our Terms & Conditions and Buying Guide. Contact us at support@biorbyt.com.

25 ug of the indicated Human whole cell or tissue extracts was loaded onto a 12% SDS-PAGE gel. 5 ug/mL of the antibody was used in this experiment.

WB Suggested Anti-SMARCC1 Antibody Titration: 1.25 ug/mL, ELISA Titer: 1:312500, Positive Control: Jurkat cell lysate, SMARCC1 is strongly supported by BioGPS gene expression data to be expressed in Human Jurkat cells.
Documents Download
Request a Document
SMARCC1 Rabbit Polyclonal Antibody (orb329715)
Participating in our Biorbyt product reviews program enables you to support fellow scientists by sharing your firsthand experience with our products.
Login to Submit a Review








