You have no items in your shopping cart.
SMN1 Antibody
Description
Research Area
Images & Validation
−| Tested Applications | ELISA, IF, IHC, WB |
|---|---|
| Dilution Range | WB:1:500-5000, IHC-P:1:20-200, IF:1:50-200 |
| Reactivity | Human |
Key Properties
−| Host | Rabbit |
|---|---|
| Clonality | Polyclonal |
| Isotype | IgG |
| Immunogen | Recombinant Human Survival motor neuron protein (3-194AA) |
| Target | SMN1 |
| Purification | >95%, Protein G purified |
| Conjugation | Unconjugated |
Storage & Handling
−| Storage | Maintain refrigerated at 2-8°C for up to 2 weeks. For long term storage store at -20°C in small aliquots to prevent freeze-thaw cycles. |
|---|---|
| Form/Appearance | Liquid |
| Buffer/Preservatives | Preservative: 0.03% Proclin 300. Constituents: 50% Glycerol |
| Expiration Date | 12 months from date of receipt. |
| Disclaimer | For research use only |
Alternative Names
−Similar Products
−SMN1/2 Rabbit Polyclonal Antibody [orb251581]
FC, ICC, IF, IHC, WB
Human, Mouse, Rat
Rabbit
Polyclonal
Unconjugated
100 μgSMN1 Rabbit Polyclonal Antibody [orb577488]
WB
Canine, Equine, Guinea pig, Porcine, Rabbit, Rat
Human, Mouse
Rabbit
Polyclonal
Unconjugated
100 μlSMN1/2 Mouse Monoclonal Antibody [orb421125]
ICC, IHC, WB
Human, Mouse, Rat
Mouse
Monoclonal
Unconjugated
100 μg

Quality Guarantee
Explore bioreagents carefree to elevate your research. All our products are rigorously tested for performance. If a product does not perform as described on its datasheet, our scientific support team will provide expert troubleshooting, a prompt replacement, or a refund. For full details, please see our Terms & Conditions and Buying Guide. Contact us at support@biorbyt.com.

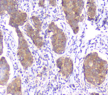
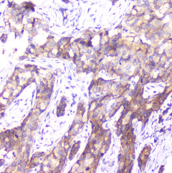
Immunohistochemistry of paraffin-embedded human testis tissue using SMN1 antibody

Western blot aanalysis of A549 whole cell lysate, Hela whole cell lysateusing SMN1 antibody

Immunofluorescent analysis of HepG2 cells using SMN1 antibody
Quick Database Links
UniProt Details
−Documents Download
Request a Document
Protocol Information
SMN1 Antibody (orb51554)
Participating in our Biorbyt product reviews program enables you to support fellow scientists by sharing your firsthand experience with our products.
Login to Submit a Review





















