You have no items in your shopping cart.
Description
Research Area
Images & Validation
−| Tested Applications | WB |
|---|---|
| Dilution Range | WB=1:500-2000 |
| Reactivity | Gallus |
| Predicted Reactivity | Bovine, Canine, Equine, Human, Mouse, Porcine, Rabbit, Rat, Sheep |
Key Properties
−| Antibody Type | Primary Antibody |
|---|---|
| Host | Rabbit |
| Clonality | Polyclonal |
| Isotype | IgG |
| Immunogen | KLH conjugated synthetic peptide derived from human SOCS6 (21-120/535aa) |
| Target | SOCS6 |
| Molecular Weight | 59 kDa |
| Purification | Affinity purified by Protein A |
| Conjugation | Unconjugated |
Storage & Handling
−| Storage | Maintain refrigerated at 2-8°C for up to 2 weeks. For long term storage store at -20°C in small aliquots to prevent freeze-thaw cycles. |
|---|---|
| Form/Appearance | Liquid |
| Buffer/Preservatives | 0.01M TBS (pH7.4) with 1% rAlbumin, 0.02% Proclin300 and 50% Glycerol. |
| Concentration | 1mg/ml |
| Expiration Date | 12 months from date of receipt. |
| Disclaimer | For research use only |
Alternative Names
−Similar Products
−STAT4 Rabbit Polyclonal Antibody [orb158505]
ELISA, ICC, WB
Bovine, Canine, Human, Mouse, Porcine, Rabbit, Rat
Human
Rabbit
Polyclonal
Unconjugated
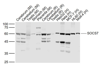
50 μl, 100 μl, 200 μlSOCS7 Rabbit Polyclonal Antibody [orb313242]
IF, IHC-Fr, IHC-P, WB
Rabbit
Human, Mouse, Rat
Rabbit
Polyclonal
Unconjugated
50 μl, 100 μl, 200 μlSOCS6 Rabbit Polyclonal Antibody [orb258836]
ELISA, IHC, WB
Mouse, Rat
Human
Rabbit
Polyclonal
Unconjugated
100 μgSOCS6 Rabbit Polyclonal Antibody [orb412935]
IHC, WB
Human
Rabbit
Polyclonal
Unconjugated
50 μl, 100 μl, 200 μl, 30 μlSOCS6 Rabbit Polyclonal Antibody [orb631398]
ELISA, IHC, WB
Human, Mouse, Rat
Rabbit
Polyclonal
Unconjugated
50 μg, 100 μg

Quality Guarantee
Explore bioreagents carefree to elevate your research. All our products are rigorously tested for performance. If a product does not perform as described on its datasheet, our scientific support team will provide expert troubleshooting, a prompt replacement, or a refund. For full details, please see our Terms & Conditions and Buying Guide. Contact us at support@biorbyt.com.

Sample: Heart (Chicken) Lysate at 40 ug, Primary: Anti-SOCS6 (orb186020) at 1/1000 dilution, Secondary: IRDye800CW Goat Anti-Rabbit IgG at 1/20000 dilution, Predicted band size: 59 kD, Observed band size: 60 kD.

Sample: Heart (Mouse) Lysate at 40 ug, Primary: Anti-SOCS6 (orb186020) at 1/1000 dilution, Secondary: IRDye800CW Goat Anti-Rabbit IgG at 1/20000 dilution, Predicted band size: 59 kD, Observed band size: 57 kD.
Quick Database Links
UniProt Details
−Documents Download
Request a Document
SOCS6 Rabbit Polyclonal Antibody (orb186020)
Participating in our Biorbyt product reviews program enables you to support fellow scientists by sharing your firsthand experience with our products.
Login to Submit a Review






